«Альтернативная ортопедия. Протезирование на имплантатах»

Курс 28 февраля — 01 марта 2026
23 Просмотра
Стоимость: 59 800 ₽
Набор закрыт На мероприятие закончились места. Если хотите узнать о возобновлении мероприятия нажмите на кнопку “Сообщить о наличии мест”
Онлайн
Время: с 10:00 до 18:00 по местному времени
«Альтернативная ортопедия. Протезирование на имплантатах»
«Альтернативная ортопедия. Протезирование на имплантатах»
Ортопедическая стоматология
Посмотреть еще
В чем уникальность этого курса?
Разбор сложных клинических случаев совместно с участниками, а также будет происходить планирование этих работ.
Участникам необходимо подготовить сложный клинических случай (по возможности).
Участники совместно с лектором спланируют тактику ведения работы.

Для кого этот курс?
Мы рекомендуем этот курс, как совместный для хирургов и ортопедов.
Для докторов которые совмещают ортопедию и хирургию и делают все этапы самостоятельно.
Курс подойдет для начинающих специалистов в этой области.
Курс для тех, кто уже работает в области ортопедии/хирургии (много полезной информации).

Программа мероприятия:
День 1. Лекционная часть курса:
Имплантология и ортопедия.

1. Биологическая ширина
Так ли все однозначно в области имплантатов?

2. Вводная лекция.
Что такое?:
аналог
абатмент
трансфер
скан-маркер
супраструктура
титановое основание
трансфер-чек
абатмент-чек
мультиюнит
ти-бейс
угловой абатмент
В каких случаях это применять? Различные типы соединений. Преимущества и недостатки.
3. Факторы влияющие на воспаление мягких тканей и резорбцию кости в области имплантата.
4. Временное протезирование на имплантатах.
Когда можно обойти этап провизорных реставраций, а когда нет.
5. Фиксация коронки на имплантат.
6. Что делать, если коронка не садиться на имплантат?
7. Виды разрезов и профиль коронки относительно костного рисунка в области имплантата.
8. Планирование конструкции и выбор типа фиксации.
9. Определение оси имплантата.

День 2. Практическая часть курса:
Ортопедия.
1. Немедленное протезирование на имплантат во фронтальном отделе.
2. Изготовление провизорной реставрации непосредственно на модели. Изготовление силиконового ключа.
3. Формирование профиля прорезывания и окклюзионные взаимоотношения.
4. Изготовление индивидуального трансфера.
5. Изготовление трансфер чека. Методика закрытой и открытой ложки.
6. Снятие оттиска открытой ложкой.
7. Снятие оттисков с уровня имплантатов.
8. Подбор мульти юнитов.
9. Снятие оттисков с уровня мульти юнитов.
10. Установка абатментов. Критерии правильно изготовленного абатмента. Работа с абатмент-чеками. Виды абатментов и титановых оснований, критерий выбора и работы с ними.
11. Установка мостовидного протеза на винтовой фиксации. Критерии правильно изготовленного. мостовидного протеза на винтовой фиксации. Протезирование мостовидными протезами на имплантах. Виды мостовидных протезов.
12. Установка коронок на цементной фиксации.

Бонус!
Демонстрация:
сканирование интраоральным сканером.
использование скан-маркеров в цифровом протоколе.
Практика: (каждый участник отрабатывает своими руками)
препарирование под коронку.
препарирование под винир.
снятие комбинированных оттисков с имплантатов и препарированных зубов.

Почему стоит посетить этот курс?
1 Этот курс поможет
разобраться в сложных понятиях аналог, абатмент, трансфер, скан-маркер, супраструктура, титановое основание, трансфер-чек, абатмент-чек, мультиюнит, ти-бейс, угловой абатмент. И в каких случаях это применять?
2 Научитесь
грамотно работать с имплантами. Чтобы достичь прогнозируемого результата.
3 так же поможет
грамотно планировать конструкции на имплантатах и выстраивать правильную коммуникацию хирурга и ортопеда.
4 Все навыки
будут закреплены на практике. Каждый участник отрабатывает навык на фантомных моделях.

Также в программе:
Вариативность ортопедического лечения.
Оптимальные варианты протезирования при сложных клинических ситуациях, когда выбор стоит удалять или сохранять оставшиеся зубы.
● Зубосохраняющие» методики.
● Выбор восстановления зубов.
Съемное и несъемное протезирование с опорой на свои зубы.
Варианты долгосрочного протезирования с точки зрения практической и эстетической составляющей.
Последствия ношения не корректных съемных протезов.
Актуальность показаний к имплантации.
Биологическое и функциональное обоснование установки имплантатов
Выбор конструкций при оставшихся 2-6 зубах на одной челюсти (как с установкой имплантов так и без).
На этом курсе Вы получите ответы на такие вопросы:
Как взаимодействовать врачу хирургу и ортопеду?

Что друг от друга ожидать и требовать друг от друга?
Где и чья зона ответственности?
Как прогнозируемо работать с имплантатами стоматологу-хирургу?
Как стоматологу хирургу не допустить ошибок на этапе протезирования?
Почему у концепции All in 4 очень узкие показания?
Как бороться за сохранность зуба?

Что Вы сможете после курса?
После этого курса Вы расширите свой арсенал помощи пациенту при планировании больших работ.
Поймете когда стоит бороться за зуб, а когда стоит его удалить.
Сможете предлагать альтернативу имплантации , когда это необходимо или пациент не рассматривает такой вариант лечения.
Изготавливать прогнозируемые конструкции на имплантатах.
Когда это возможно и необходимо?

ТАРИФНЫЕ ПЛАНЫ:
*Стоимость указана по акции раннего бронирования.
Свободный слушатель
35 600* руб.
при регистрации
до 31.10.2025 - 35 600 руб.
при регистрации
после 31.10.2025 - 39 600 руб.

Для студентов и ординаторов скидка 3000 руб от тарифа.
- 16 академических часов обучения.
- Сертификат с подписью лектора и печатью учебного центра.
- Обеды и кофе-рейки.
- Блокнот, ручка, пакет.
- Раздаточный материал.
- Общий чат с лектором и поддержка в течение 2-х месяцев после курса.
- Специальные условия на заказ ортопедических конструкций лаборатории Helios.

Интенсивная практика
56 800* руб.
при регистрации
до 31.10.2025 - 56 800 руб.
при регистрации

после 31.10.2025 - 59 800 руб
Для студентов и ординаторов скидка 3000 руб от тарифа.
- 16 академических часов обучения с отработкой практических навыков и постановкой руки каждого участника.
- Сертификат с подписью лектора и печатью учебного центра.
- Обеды и кофе-рейки.
- Блокнот, ручка, пакет.
- Раздаточный материал.
- Общий чат с лектором и поддержка в течение 2-х месяцев после курса.
- Специальные условия на заказ ортопедических конструкций лаборатории Helios.

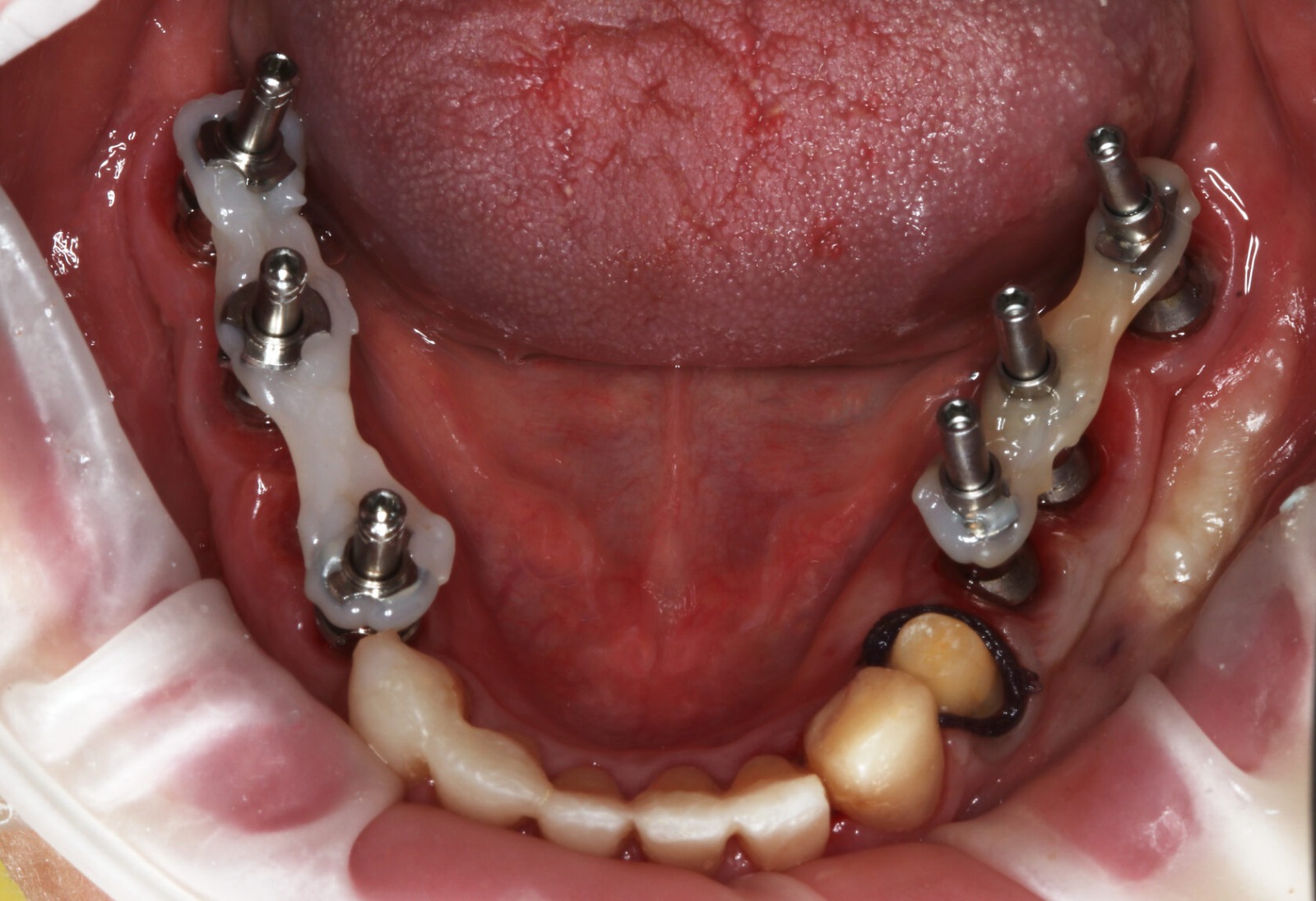
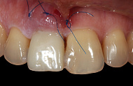
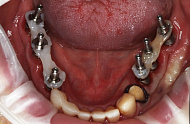
Фотографии учебного материала

Набор закрыт На мероприятие закончились места. Если хотите узнать о возобновлении мероприятия нажмите на кнопку “Сообщить о наличии мест”

Отзывы: «Альтернативная ортопедия. Протезирование на имплантатах»

Будьте первым, оставьте отзыв!
Стоимость: 59 800 ₽
Набор закрыт На мероприятие закончились места. Если хотите узнать о возобновлении мероприятия нажмите на кнопку “Сообщить о наличии мест”
Контактная информация
Краснодарский край, городской округ Сочи, посёлок городского типа Дагомыс, улица Гайдара, 5/1

лекторы

Другие курсы
На сайте используются cookie-файлы, которые помогают показывать Вам самую актуальную информацию. Продолжая пользоваться сайтом, Вы даете согласие на использование ваших Метаданных и cookie-файлов.