«Авторский курс от Евгения Ляпина по теме: Изготовление циркониевых коронок по концепции BOPT. На примере масс e.max и creation»

Курс 18 октября — 19 октября 2025
94 Просмотра
Стоимость: от 30 500 ₽
Завершено Мероприятие не актуально, даты проведения мероприятия 18 октября-19 октября 2025
Место проведения: Москва
Время: с 10:00 до 18:00 по местному времени
Уникальный курс, аналогов которому нет в РФ! Проводится только на базе учебного центра Helios!
«Авторский курс от Евгения Ляпина по теме: Изготовление циркониевых коронок по концепции BOPT. На примере масс e.max и creation»
Зубной техник
Посмотреть еще

Подобных тем для зубных техников нет в РФ, хотя для докторов проводится много учебных мероприятий по концепции BOPT! И эта методика набирает все большую популярность, так как является самой правильной для достижения здоровой десны и создания качественных реставраций с биологической точки зрения!

Ключевые моменты курса:

Вертипреп и концепция BOPT.

Определение цвета.

Работа по системе Matis.

Коммуникация врача и техника.

Технология отсутствия сколов керамики при нанесении на ZrO2.

Изготовление точной разборной модели в цифровом протоколе по системе Shera

Нанесение керамики на диоксид циркония

Создание старого и молодого зуба.

Для кого этот курс?

Для зубных техников, желающих освоить концепцию изготовления циркониевых реставраций BOPT с опытом работы от 6-ти месяцев.

Биологически Ориентированная Техника Препарирования! В.О.Р.Т. – это эксклюзивная авторская методика, которая позволяет с легкостью справляться с клиническими ситуациями без привлечения смежных специалистов.

Данная техника зародилась в NY и благодаря наблюдениям Профессора Лои за поведением мягких тканей на протяжении нескольких десятилетий была доведена до совершенства.

Посетив легендарный курс, вы научитесь выходить из безнадежных ситуации!

Обращаем внимание, что программа в таком формате состоится впервые в России – ЭТО БОЛЬШАЯ ПРЕМЬЕРА.

«В.О.Р.Т. может применяться не только в протезировании, но и в консервативной стоматологии, пародонтологии и имплантологии – эта концепция меняет жизнь стоматолога!» — Профессор Лои.

Программа курса:

Теория

- Вертипреп и концепция BOPT.

- Разбор кейсов по BOPT. Отдаленные результаты. Обзор ситуации десневых тканей до и после.

- Определение цвета различными методами. Работа по системе Matis.

- Как ускорить процесс изготовления работы за счет цифровых технологий и BOPT.

- Как оптимизировать работу помощи работы с BOPT и отсутствии гингивотомии.

- Изготовление временных коронок при BOPT.

- Коммуникация врача и техника (планирование работы с ортопедом, необходимый фотопротокол, требования к оттискам, требования к интраоральным сканам).

- Подготовка и гравировка штампика по цифровому протоколу (демонстрация).

- Определение границы и контура прорезывания по цифровому протоколу (демонстрация).

- Создание угла гирлянды в зависимости от типа слизистой, глубины препарирования и разности зенитов.

Бонус!

- Как нанести 20 высококачественных и высоко эстетичных коронок в день, используя технологию внутреннего прокрашивая и с вестибулярного микронанесения.

- Технология отсутствия сколов керамики при нанесении на ZrO2.

- Изготовление точной разборной модели в цифровом протоколе по системе Shera.

Практика (каждый участник отрабатывает своими руками)

- Подготовка и гравировка штампика по мануальному протоколу.

- Определение границы и контура прорезывания.

- Нанесении 2-х коронок по технологии микронанесения, с внутренним окрашиванием и технологией вестибулярного нанесения.

- Нанесение молодого и старого зуба.

- Создание натурального микро и макрорельефа.

- Особенности посадки коронок под микроскопом.

- Полировка коронок для достижения натурального блеска.

- Полировка уступа по методике BOPT.

Каждому участнику предоставляется:

- Рабочее место для отработки практических навыков.

- Мотор с прямым наконечником.

- Палитра.

- Необходимые массы для нанесения.

- Модель для изготовления конструкции.

- Циркониевые конструкции для нанесения.

Внимание!Участникам с собой необходимо иметь:Личные инструменты для нанесения керамики

- Кисти

- Шпателя для замешивания

- Боры для обработки

- Карцанги

- Кисти для глазури

- Резинки для полировки

ТАРИФНЫЕ ПЛАНЫ:

*Стоимость указана по акции раннего бронирования.

Свободный слушатель

26 500* руб.

Что включено в тариф:

при регистрации до 30.07.2025 - 26 500 руб

при регистрации после 30.07.2025 - 30 500 руб

- Обеды.

- Кофе-брейки

- Полезные раздаточные материалы.

- Сертификат участника с подписью лектора и печатью учебного центра.

- Отработка практических навыков отсутсвует.

- Общий Whatsapp чат с участниками и лектором, для ответов на вопросы

- Методический материал для применение на практике участников.

Практика

49 500* руб.

Что включено в тариф:

при регистрации до 30.07 2025 - 49 500 руб

при регистрации после 30.07 2025 - 55 500 руб

- Обеды.

- Кофе-брейки.

- Полезные раздаточные материалы.

- Сертификат участника с подписью лектора и печатью учебного центра.

- Отработка практических навыков и постановка руки каждого техника.

- Общий Whatsapp чат с участниками и лектором, для ответов на вопросы.

- Методический материал для применение на практике участников.

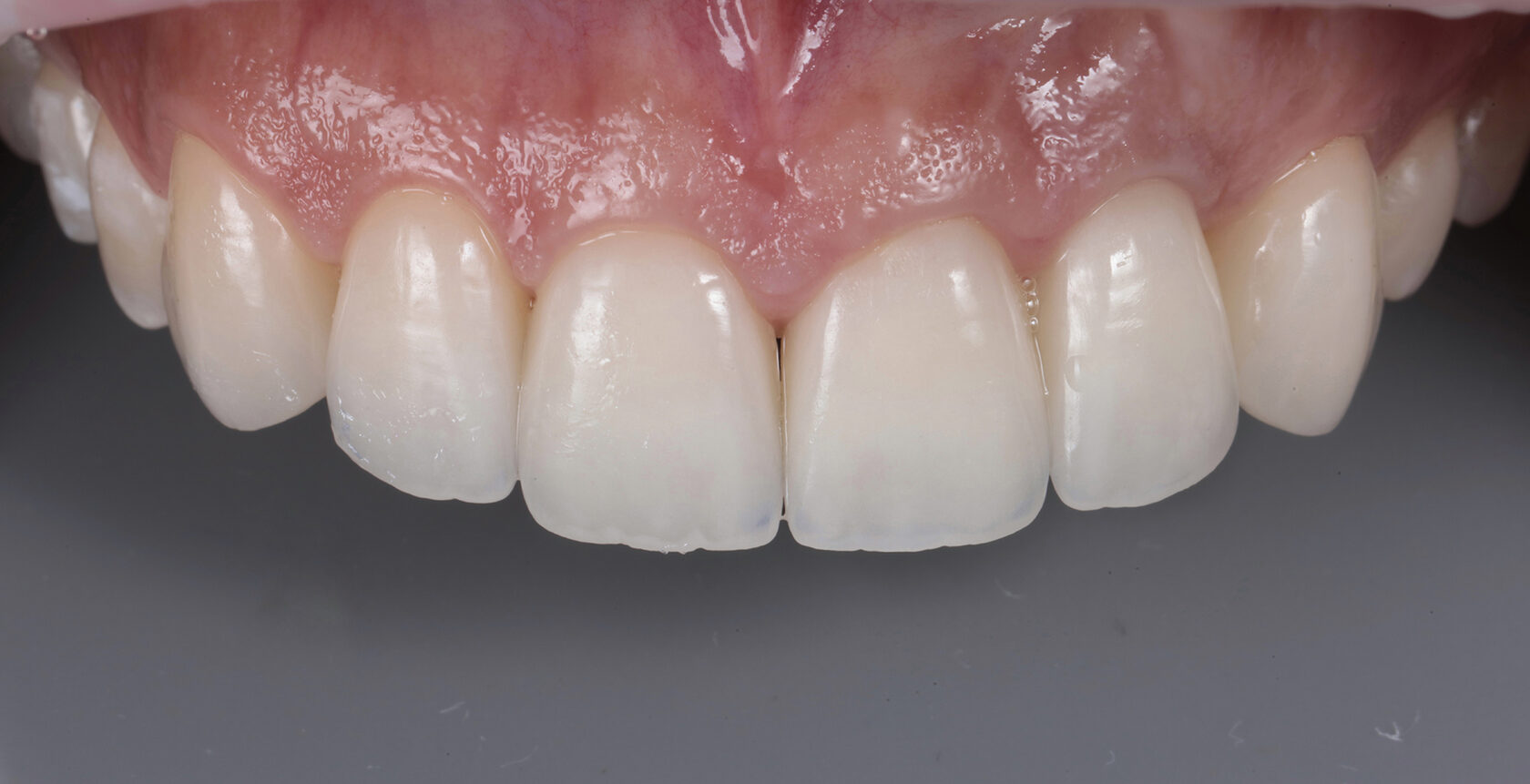
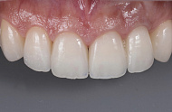
Фотографии учебного материала

Лектор курса:

Завершено Мероприятие не актуально, даты проведения мероприятия 18 октября-19 октября 2025

Отзывы: «Авторский курс от Евгения Ляпина по теме: Изготовление циркониевых коронок по концепции BOPT. На примере масс e.max и creation»

Будьте первым, оставьте отзыв!
Стоимость: от 30 500 ₽
Завершено Мероприятие не актуально, даты проведения мероприятия 18 октября-19 октября 2025
Контактная информация
Краснодарский край, городской округ Сочи, посёлок городского типа Дагомыс, улица Гайдара, 5/1

лекторы

Другие курсы
На сайте используются cookie-файлы, которые помогают показывать Вам самую актуальную информацию. Продолжая пользоваться сайтом, Вы даете согласие на использование ваших Метаданных и cookie-файлов.