«Демонстрация препарирования под виниры на примере живого пациента!»

Вебинар 09 ноября 2025 — 19 ноября 2026
120 Просмотров
Бесплатно
Онлайн
Время: с 10:00 до 12:00 по местному времени
«Демонстрация препарирования под виниры на примере живого пациента!»
«Демонстрация препарирования под виниры на примере живого пациента!»
Ортодонтия
Посмотреть еще
ВАЖНО
Что будет продемонстрировано?
Алгоритм препарирование под винир центрального реза
Алгоритм препарирование под винир латерального реза
Правильный протокол препарирования под виниры
Методика трех боров
Живой клинический случай в прямом включении!!!

Для кого данный эфир?
Для стоматологов ортопедов.
Для стоматологов ортопедов занимающимися реставрациями при помощи виниров.
Для стоматологов планирующих заняться винирами и керамическими реставрациями.

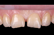
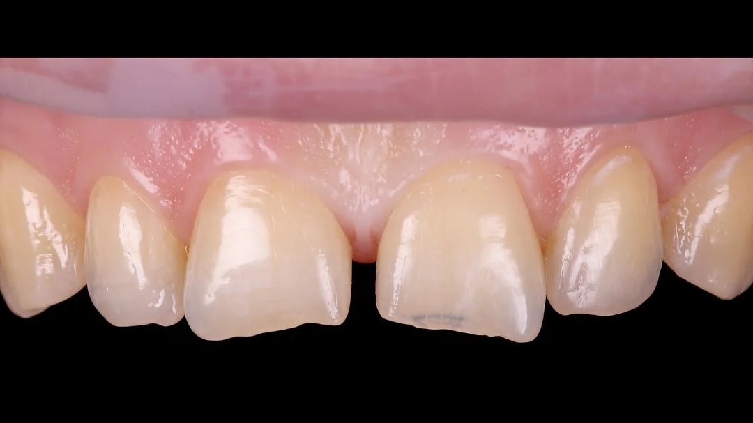
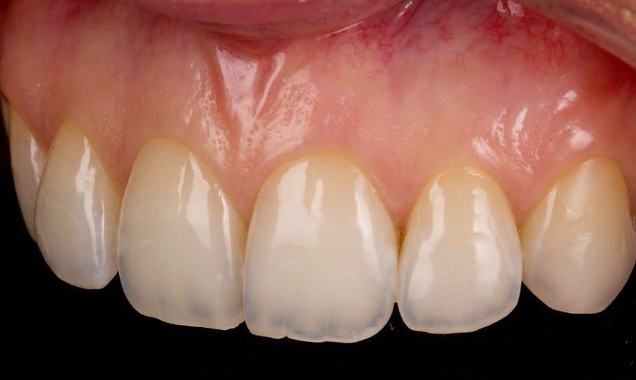
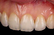
Фотографии учебного материала

Отзывы: «Демонстрация препарирования под виниры на примере живого пациента!»

Будьте первым, оставьте отзыв!
Бесплатно
Контактная информация
Краснодарский край, городской округ Сочи, посёлок городского типа Дагомыс, улица Гайдара, 5/1

лекторы

Другие курсы
На сайте используются cookie-файлы, которые помогают показывать Вам самую актуальную информацию. Продолжая пользоваться сайтом, Вы даете согласие на использование ваших Метаданных и cookie-файлов.