«Эстетическая реабилитация пациента при помощи виниров»

Вебинар 05 января — 11 января 2026
220 Просмотров
Стоимость: от 4 000 ₽
Завершено Мероприятие не актуально, даты проведения мероприятия 05 января-11 января 2026
Онлайн
Время: с 10:00 до 15:00 по местному времени
«Эстетическая реабилитация пациента при помощи виниров»
«Эстетическая реабилитация пациента при помощи виниров»
Ортопедическая стоматология
Посмотреть еще

Подарки при регистрации на вебинар.

Шаблоны для дизайна улыбки

- Для Keynote

- Для PowerPoint

Программа вебинара:

Снятие керамических виниров.

Коррекция зенит.

Препарирование (доработка зубов).

Сканирование.

Временные реставрации.

Примерка и фиксация керамических виниров.

Ответы на вопросы участников.

ДЛИТЕЛЬНОСТЬ ЗАПИСИ ВЕБИНАРА 90 МИНУТ

Внимание! Вебинар останется в записи у участников навсегда!

Во время вебинара будут даны полезные материалы для участников, которые они смогут использовать в своей практике.

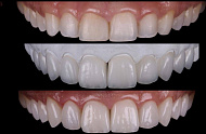
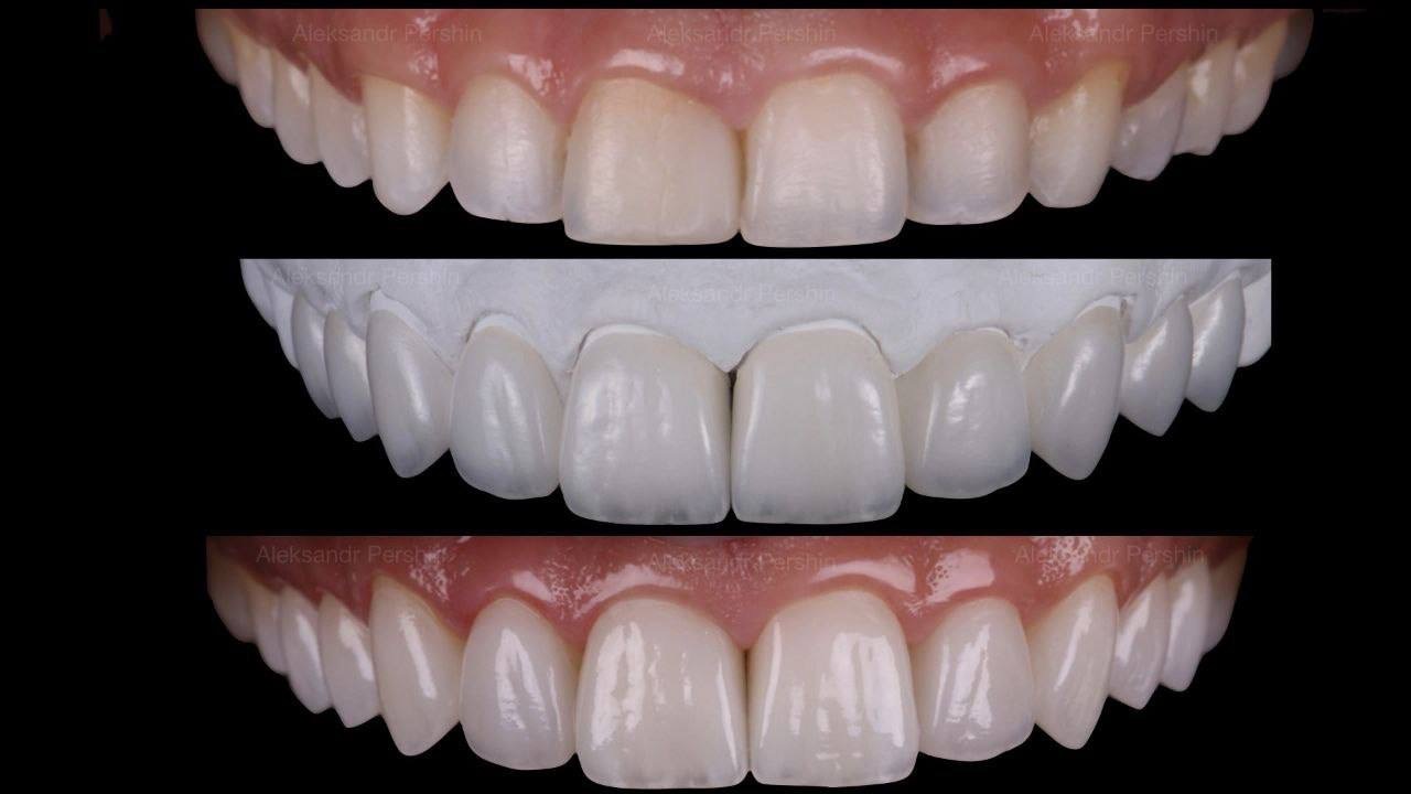
Фотографии учебного материала

Завершено Мероприятие не актуально, даты проведения мероприятия 05 января-11 января 2026

Отзывы: «Эстетическая реабилитация пациента при помощи виниров»

Будьте первым, оставьте отзыв!
Стоимость: от 4 000 ₽
Завершено Мероприятие не актуально, даты проведения мероприятия 05 января-11 января 2026
Контактная информация
Краснодарский край, городской округ Сочи, посёлок городского типа Дагомыс, улица Гайдара, 5/1

лекторы

Другие курсы
На сайте используются cookie-файлы, которые помогают показывать Вам самую актуальную информацию. Продолжая пользоваться сайтом, Вы даете согласие на использование ваших Метаданных и cookie-файлов.