«Художественная и функциональная реставрация. Жевательная + фронтальная группы зубов»

Курс 07 ноября — 09 ноября 2025
139 Просмотров
Стоимость: 68 000 ₽
Завершено Мероприятие не актуально, даты проведения мероприятия 07 ноября-09 ноября 2025
Место проведения: Санкт-Петербург, Лиговский проспект, 54
Время: с 10:00 до 18:00 по местному времени
МИНИМУМ ТЕОРИИ
МАКСИМУМ ПРАКТИКИ
«Художественная и функциональная реставрация. Жевательная + фронтальная группы зубов»
Терапевтическая стоматология Ортодонтия Ортопедическая стоматология
Посмотреть еще

Трехдневный практический курс

«Художественная и функциональная реставрация. Жевательная + фронтальная группы зубов»

Для кого этот курс?

Для стоматологов-терапевтов

Для стоматологов-ортопедов

Для стоматологов-ортодонтов

В чем уникальность этого курса?

МИНИМУМ ТЕОРИИ

МАКСИМУМ ПРАКТИКИ

25% ТЕОРИИ / 75% ПРАКТИКИ

Программа мероприятия:

Жевательные реставрации:

Теория

- Пути развития специалиста.

- Консультация. Фотопротокол - как WOW эффект для пациента.

- Анестезия. Как убрать страх перед проводниковой анестезией

- Актуальность прямой реставрации в современной стоматологии.

- Изоляция рабочего поля. Варианты использования коффердама. Преимущества и недостатки.

- Дизайн препарирования кариозных полостей. Различия обработки эмали и дентина. CAD /CID.

- Адгезивный протокол. Поколения адгезивных систем, преимущества и недостатки.

- Реставрационные материалы.

- Анатомия зубной дуги.

- Строение зуба. Морфология отдельных групп зубов.

- Формирование клинического мышления. Различные методики восстановления зубов.

- Оценка клинической ситуации и выбор методики восстановления.

- Клинический порядок действий с поддесневыми дефектами.

- Применения красок и различных дополнительны композитов для имитации индивидуальных особенностей твердых тканей зубов.

- Полировка. Борьба с ИКС. Получение долгосрочного блеска.

Практика

- Установка системы коффердам.

- Восстановление методикой штампа.

- Восстановление зуба побугорковой методикой.

- Восстановление зуба методикой одной порции.

- Восстановление зуба погребневой методикой.

- Восстановление контактного пункта.

- Нюансы при работе со вторым классом.

- Имитация индивидуальных особенности твердых тканей зубов.

Фронтальные реставрации:

Теория

- Особенности работы во фронтальном отделе.

- Составляющие успешной реставрации.

- Поэтапная демонстрация сложной клинической ситуации с применением цифровых технологий.

- Компоненты улыбки.

- Морфология фронтальной группы зубов.

- Оптические свойства твердых тканей зубов.

- Эстетические принципы анализа улыбки.

- Свойства эмали и дентина. Способы повторить природу.

- Формирование клинического мышления.

- Методики послойного воспроизведения тканей зубов.

- Протокол восстановления полостей III и IV класса.

- Применение шаблонов, как неотъемлемая часть прогнозируемого восстановления фронтального отдела.

- Формирование макро- и микрорельефа.

Практика

- Изготовление палатинального ключа.

- Создание скоса и шамфера.

- Восстановление зубов с применением палатинального ключа.

- Протокол финишной обработки реставрации.

- Получение зеркального блеска Создание макро и микро рельефов.

ВАЖНО !

Каждому участнику предоставляется:

- Бинокулярные лупы.

- Все необходимые инструменты и материалы.

- Рабочее место.

- Фантомные зубы.

- Инструменты для реставрации.

- Разные композиты.

ТАРИФНЫЕ ПЛАНЫ:

*Стоимость указана по акции раннего бронирования

Свободный слушатель

38 000* руб.

Что включено в тариф:

Стоимость по акции раннего бронирования

до 31.08.2025 - 38 000 рублей.

Стоимость по акции раннего бронирования

с 01.09.2025 - 07.10.2025 - 40 000 рублей.

Стоимость при регистрации

после 08.10.2025 - 42 000 рублей.

- Участие в 3-х дневном курсе.

- Практическая отработка отсутствует.

- Общий чат + поддержка в течение 2-х месяцев после курса.

- Сертификат о прохождении курса с подписью лектора и печатью учебного центра.

- Обед ежедневно.

- Кофе-брейк ежедневно.

- Фирменная раздатка HELIOS: блокнот, ручка, крафтовый пакет.

Практика

63 000* руб.

Что включено в тариф:

Стоимость по акции раннего бронирования

до 31.08.2025 - 63 000 рублей.

Стоимость по акции раннего бронирования

с 01.09.2025 - 07.10.2025 - 65 000 рублей.

Стоимость при регистрации

после 08.10.2025 - 68 000 рублей.

- Участие в 3-х дневном курсе.

- Практическая отработка навыков в бинокулярах.

- Практическая отработка инструментами.

- Оборудованное рабочее место.

- Общий чат + поддержка в течение 2-х месяцев после курса.

- Сертификат о прохождении курса с подписью лектора и печатью учебного центра.

- Обед ежедневно.

- Кофе-брейк ежедневно.

- Фирменная раздатка HELIOS: блокнот, ручка, крафтовый пакет.

- Совместная постановка руки от лектора.

Часто задаваемые вопросы:

Предусмотрено ли питание на курсе?

Да! Для участников курса предусмотрены обед и кофе-брейк.

Обед включает в себя: Комплексный обед или шведский стол.

*Комплексный обед состоит из:

- Первого блюда (суп/салат).

- Горячего блюда (курица/рыба + гарнир), а также напитка (сок/морс).

Кофе-брейк включает в себя:

Питьевую воду, чай чёрный и зелёный, зерновой кофе, молоко, сахар, снеки, легкие закуски и фрукты.

*Наше меню разработано с заботой о Вас - без использования майонеза и свинины.

Что делать, если мне необходимо специальное меню (диета/ аллергия/ религиозные ограничения)?

- Обязательно сообщите об этом нашему организатору курса, но не позднее, чем за 10 дней до его начала!

Будет ли у меня именной сертификат?

- Именной сертификат выдается каждому участнику по итогам прохождения курса.

Где будет проходить курс?

- г. Санкт-Петербург.

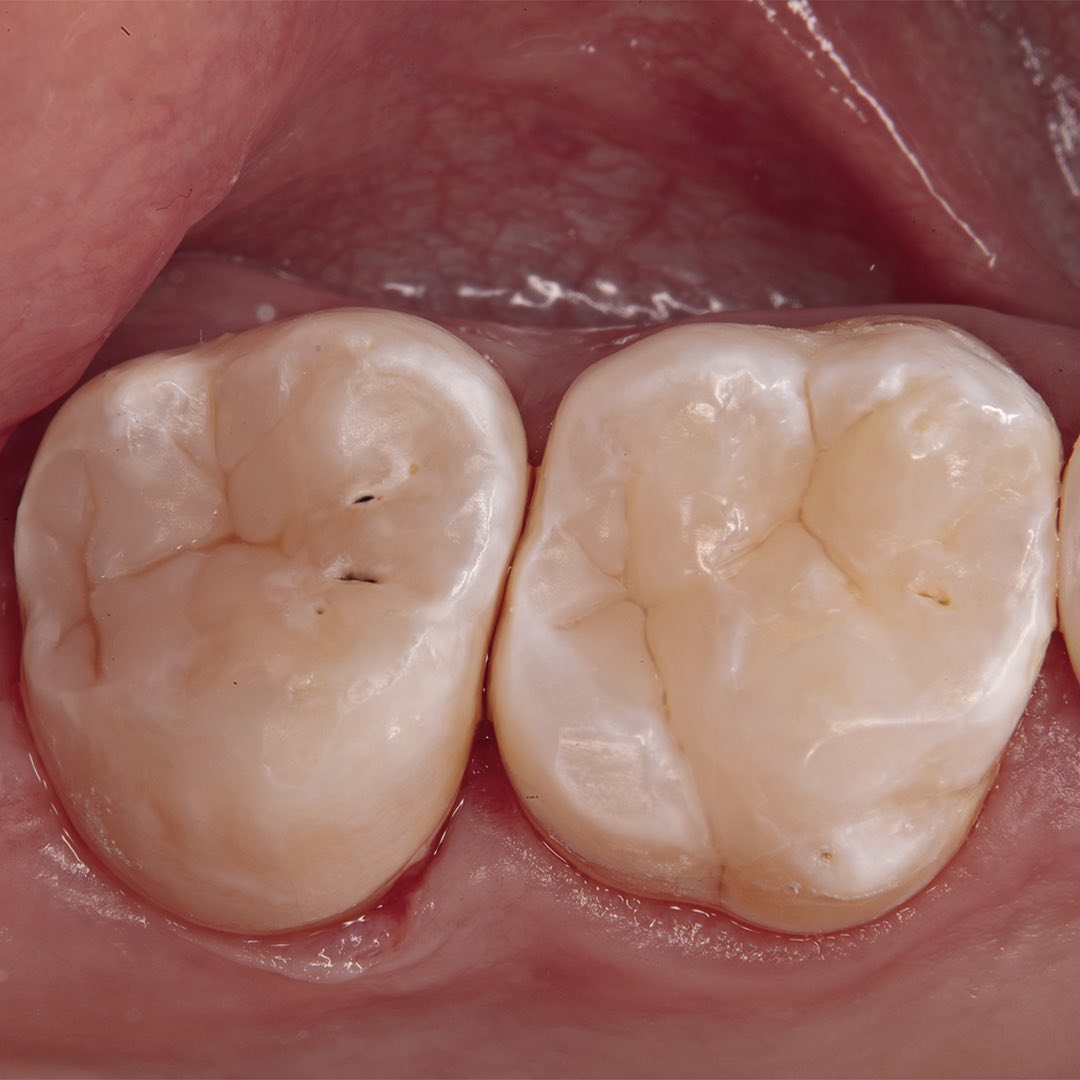
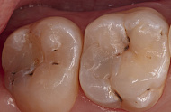
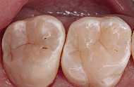
Фотографии учебного материала

Завершено Мероприятие не актуально, даты проведения мероприятия 07 ноября-09 ноября 2025

Отзывы: «Художественная и функциональная реставрация. Жевательная + фронтальная группы зубов»

Будьте первым, оставьте отзыв!
Стоимость: 68 000 ₽
Завершено Мероприятие не актуально, даты проведения мероприятия 07 ноября-09 ноября 2025
Контактная информация
Краснодарский край, городской округ Сочи, посёлок городского типа Дагомыс, улица Гайдара, 5/1

лекторы

Другие курсы
На сайте используются cookie-файлы, которые помогают показывать Вам самую актуальную информацию. Продолжая пользоваться сайтом, Вы даете согласие на использование ваших Метаданных и cookie-файлов.