«MiYo VS виниры и коронки “на рефракторе”»

Вебинар 09 декабря — 16 декабря 2025
189 Просмотров
Бесплатно
Завершено Мероприятие не актуально, даты проведения мероприятия 09 декабря-16 декабря 2025
Онлайн
Время: с 10:00 до 17:00 по местному времени
Организатор: тренинг центр для стоматологов и зубных техников Helios
«MiYo VS виниры и коронки “на рефракторе”»
«MiYo VS виниры и коронки “на рефракторе”»
Зубной техник
Посмотреть еще

Подарки при регистрации на вебинар.

Схема нанесения MiYo и MiYo PinkУЗНАТЬ ПОДРОБНЕЕОрганизатор: тренинг центр для стоматологов и зубных техников HeliosВебинар в записи

Для кого вебинар?

Для начинающих и опытных зубных техников.

Для владельцев лабораторий, которые хотят внедрить в работу жидкую керамику “MiYo” (она позволит сэкономить время и силы зубных техников - керамистов).

Для зубных техников, которые желают освоить работу с жидкой керамикой и красителями.

Программа вебинара:

Стандартизация изготовления конструкций.

Полный анатомический цирконий + MiYo. Особенности изготовления.

Виниры “на рефракторе”. Особенности изготовления. А есть ли смысл заморачиваться и спрос от докторов/пациентов?

Показания и противопоказания к той или иной реставрации. Что выбрать и в каком клиническом случае?

Дискуссия-баттл по теме: А что лучше? И возможно ли сравнивать эти виды реставраций?

Пробные наборы MiYo впервые в России! 6 самых ходовых цветов без необходимости покупать полный набор. Условия, как получить их совершенно бесплатно - расскажем на вебинаре!

Обзор практического курса MiYo VS e.max.

Раскрытие специальных условий зуботехнического конгресса в Сочи 9-10 сентября только для участников вебинара!

ДЛИТЕЛЬНОСТЬ ЗАПИСИ ВЕБИНАРА 180 МИНУТ

Внимание! Вебинар останется в записи у участников навсегда!

Во время вебинара будут даны полезные материалы для участников, которые они смогут использовать в своей практики.

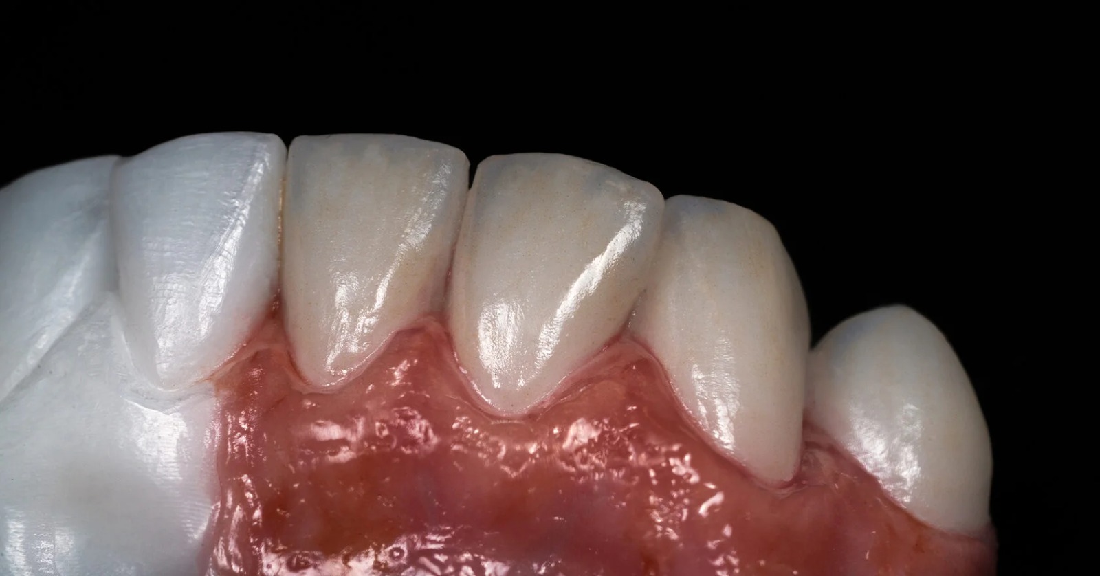
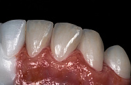
Фотографии учебного материала

Завершено Мероприятие не актуально, даты проведения мероприятия 09 декабря-16 декабря 2025

Отзывы: «MiYo VS виниры и коронки “на рефракторе”»

Будьте первым, оставьте отзыв!
Бесплатно
Завершено Мероприятие не актуально, даты проведения мероприятия 09 декабря-16 декабря 2025
Контактная информация
Краснодарский край, городской округ Сочи, посёлок городского типа Дагомыс, улица Гайдара, 5/1

лекторы

Другие курсы
На сайте используются cookie-файлы, которые помогают показывать Вам самую актуальную информацию. Продолжая пользоваться сайтом, Вы даете согласие на использование ваших Метаданных и cookie-файлов.