Непрямая фиксация брекетов

Курс 10 декабря 2025
176 Просмотров
Стоимость: 30 000 ₽
Завершено Мероприятие не актуально, даты проведения мероприятия 10 декабря 2025
Место проведения: Москва, Варшавское шоссе, 33с12
Время: с 10:00 до 18:00 по местному времени
Практический курс для ортодонтов и техников
Участники познакомятся с возможностями 3D-моделирования, научатся интегрировать данные КТ и сканов, позиционировать брекеты с учётом корней зубов и использовать библиотеки различных систем брекетов и дуг.
Непрямая фиксация брекетов
Ортодонтия Цифровая стоматология 3D-печать Эстетическая стоматология Зубной техник
Посмотреть еще

1 модуль

Диагностика

Сканирование пациента

Объединение КТ со сканами зубов

2 модуль

Цифровая фиксация брекетов с интеграцией КТ

Работа с программами Maestro 3D. Готовые протоколы моделирования.

Интерфейс и основные функции: Обзор и работа с основными инструментами программ.

STL-файлы: Загрузка и создание виртуальных моделей челюстей.

3D-снимки КЛКТ: как загрузить КТ снимок в программу и позиционировать брекеты, опираясь на корни зубов.

Библиотеки брекетов и дуг: Работа с различными системами (Ormco Damon,H4).

Виртуальное позиционирование: автоматическая расстановка брекетов в зависимости от философии позиционирования и ручная коррекция для достижения лучшего результата.

Планирование и прогнозирование: Как планировать лечение и прогнозировать результаты с помощью цифровых технологий.

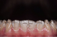
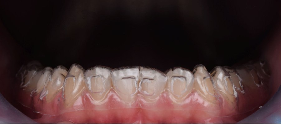
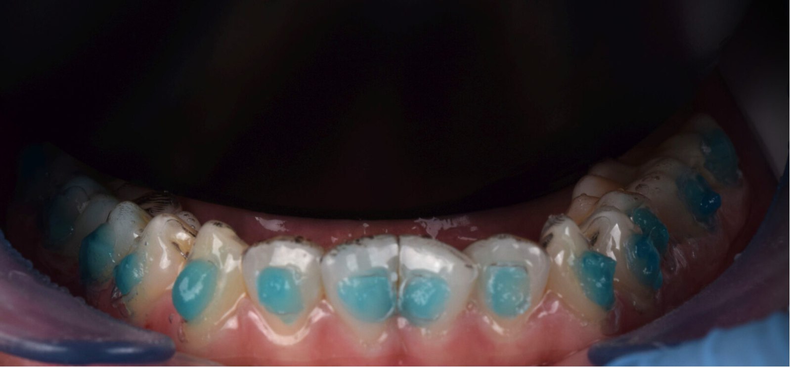
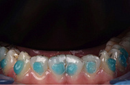
Поэтапный протокол: моделирование виртуальной каппы непрямой фиксации, стандарты качества и избегание типичных ошибок.

3 модуль

Лабораторный этап и 3D-печать цифровых трансферных капп

Подготовка к печати: правильная расстановка поддержек и подготовка файлов к печати.

Процесс печати: Настройка принтера и работа с материалами для печати каппы.

Постобработка: постобработка каппы, контроль качества, маркировка каппы, транспортировка и хранение.

Ошибки и их исправление: Как определить и устранить ошибки моделирования и печати.

4 модуль

Практика

Непрямая фиксация брекетов на модели

5 модуль

Ретенционный период

Индивидуальные цифровые ретейнеры: Моделирование лабораторный этап изготовления индивидуального ретейнера

Фотографии учебного материала

Завершено Мероприятие не актуально, даты проведения мероприятия 10 декабря 2025

Отзывы: Непрямая фиксация брекетов

Будьте первым, оставьте отзыв!
Стоимость: 30 000 ₽
Завершено Мероприятие не актуально, даты проведения мероприятия 10 декабря 2025
Контактная информация
Варшавкое шоссе, д33с12

лекторы

Другие курсы
На сайте используются cookie-файлы, которые помогают показывать Вам самую актуальную информацию. Продолжая пользоваться сайтом, Вы даете согласие на использование ваших Метаданных и cookie-файлов.