«Правильный выбор материалов, исходя из клинической ситуации и поставленных задач»

Вебинар 26 января — 31 января 2026
107 Просмотров
Бесплатно
Онлайн
Время: с 10:00 до 12:00 по местному времени
«Правильный выбор материалов, исходя из клинической ситуации и поставленных задач»
«Правильный выбор материалов, исходя из клинической ситуации и поставленных задач»
Зубной техник
Посмотреть еще

Для кого этот вебинар?

зубные техники

зубные техники занимающиеся безметалловой керамикой

зубные техники занимающиеся металлокерамикой

В ФОКУСЕ

Что Вам даёт этот вебинар?

Виды реставраций и их применение.

Мы расскажем Вам в каком случае и когда нужно делать те или иные виды реставраций.

Как выбрать необходимую реставрацию?

Критерии выбора этих реставраций.

Какие виды безметалловых конструкций бывают?

Плюсы и минусы различных видов безметалловых конструкций.

ДЕТАЛИ

Программа мероприятия:

Обзор e.max и его возможности.

Обзор конструкций на рефракторе и его возможности.

Обзор конструкций из ZrO2 его возможности.

Цельный циркон и циркониевые виниры, и их возможности.

Как стать участником онлайн-академии для зубных техников?

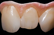
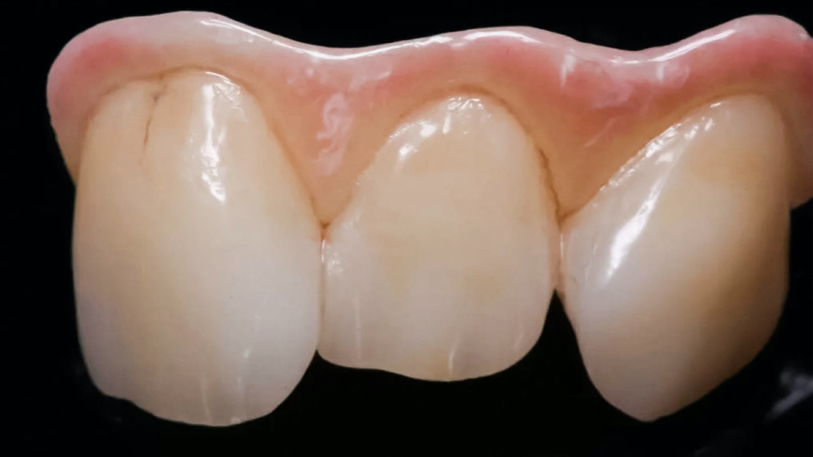
Фотографии учебного материала

Отзывы: «Правильный выбор материалов, исходя из клинической ситуации и поставленных задач»

Будьте первым, оставьте отзыв!
Бесплатно
Контактная информация
Краснодарский край, городской округ Сочи, посёлок городского типа Дагомыс, улица Гайдара, 5/1

лекторы

Другие курсы
На сайте используются cookie-файлы, которые помогают показывать Вам самую актуальную информацию. Продолжая пользоваться сайтом, Вы даете согласие на использование ваших Метаданных и cookie-файлов.