Чтобы открыть избранное, войдите в свой профиль или зарегистрируйтесь на платформе
Чтобы добавить в избранное, войдите в свой профиль или зарегистрируйтесь на платформе

Цикл осенних вебинаров для стоматологов и зубных техников

Вебинар 25 декабря — 31 декабря 2025
171 Просмотр
Стоимость: от 5 000 ₽
Завершено Мероприятие не актуально, даты проведения мероприятия 25 декабря-31 декабря 2025
Онлайн
Время: с 10:00 до 15:00 по местному времени
Темы осенних вебинаров:

«Как спасти свои зубы после лечения ВНЧС»
«VERTIPREP»
«Резать или не резать? Разбор десневых пластик»
Цикл осенних вебинаров для стоматологов и зубных техников
Зубной техник
Посмотреть еще

Лекторы: Дмитрий Юдин и София Петропавловская

«Как спасти свои зубы после лечения ВНЧС»

Содержание вебинара:

1. Варианты выхода из сплина.

- Что такое сплинт терапия и для чего она нужна?

2. Минимальное количество зубов под протезирование после сплинта.

3. Нужны ли Брекеты после сплинта?

4. Как обойтись без тотала после лечения ВНЧС.

5. Где граница между выбором тотального протезирования и ортодонтического лечения после сплинта.

6. Обучение для ортодонтов и гнатологов в Москве по лечению пациентов с дисфункцией ВНЧС.

7. Ответы на вопросы участников.

Внимание!

Во время вебинара будут даны полезные материалы для участников, которые они смогут использовать в своей практике.

Лектор: Рикардо Фоменко

«VERTIPREP»

Содержание вебинара:

1. Новый взгляд на взаимодействие ортопеда с биологической шириной (пересмотр классической концепции).

2. Уступ или вертикаль.

3. Клинические ситуации и решение в концепции VERTIPREP.

4. Ответы на вопросы участников.

Внимание!

Во время вебинара будут даны полезные материалы для участников, которые они смогут использовать в своей практике.

Прямое включение проводит один из лучших специалистов

Нет времени смотреть вебинар или не подходит время?

Зарегистрируйся, и получи доступ к вебинару и методическим материалам навсегда! Смотри и изучай когда удобно! А в телеграм-канале, посвященному вебинару, ты сможешь задать интересующие тебя вопросы!

Лектор: Роман Анисимов

«Резать или не резать? Разбор десневых пластик»

Содержание вебинара:

Возможности десневых пластик.

Какие бывают типы десневых пластик.

Когда есть необходимость десневых пластик, а когда можно просто подождать и дать организму возможность восстановиться.

Внимание!

Во время вебинара будут даны полезные материалы для участников, которые они смогут использовать в своей практике.

Ответы на вопросы участников.

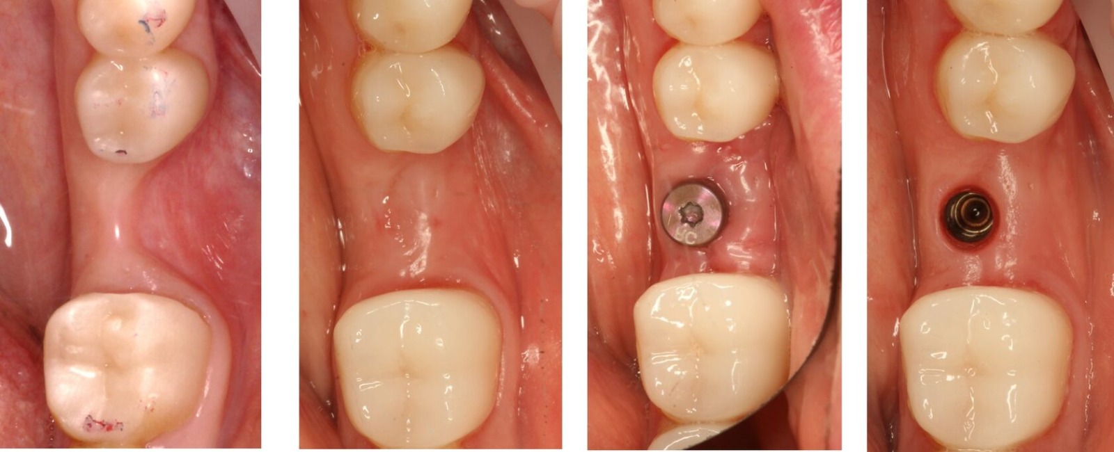
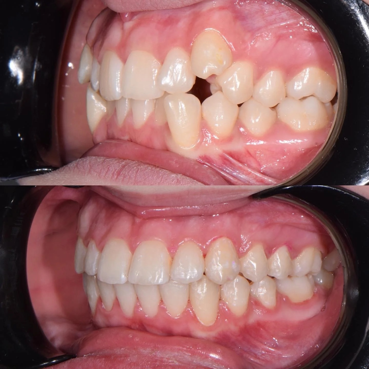
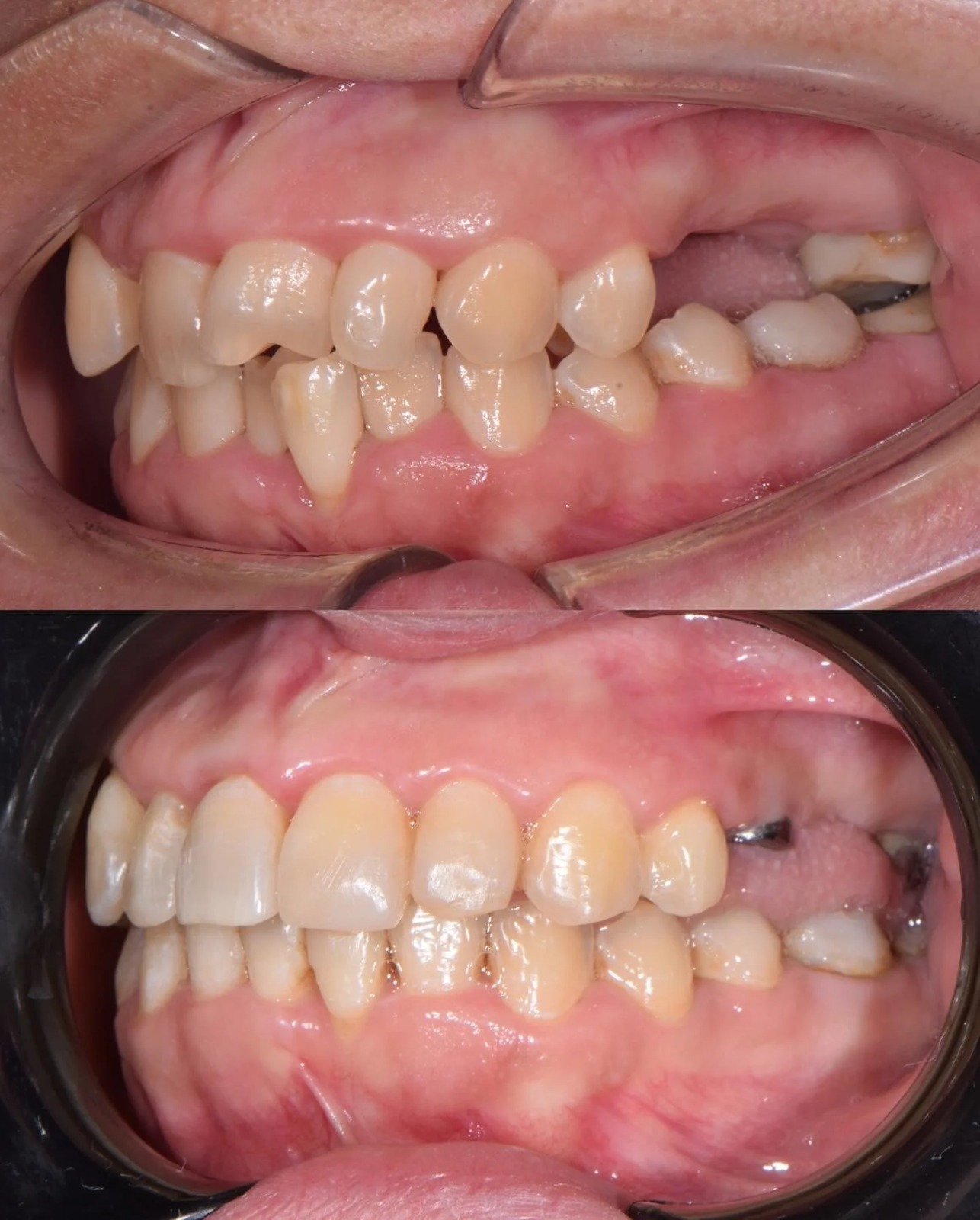
Фотографии учебного материала

Завершено Мероприятие не актуально, даты проведения мероприятия 25 декабря-31 декабря 2025

Отзывы: Цикл осенних вебинаров для стоматологов и зубных техников

Будьте первым, оставьте отзыв!
Стоимость: от 5 000 ₽
Завершено Мероприятие не актуально, даты проведения мероприятия 25 декабря-31 декабря 2025
Контактная информация
Краснодарский край, городской округ Сочи, посёлок городского типа Дагомыс, улица Гайдара, 5/1

лекторы

Другие курсы
На сайте используются cookie-файлы, которые помогают показывать Вам самую актуальную информацию. Продолжая пользоваться сайтом, Вы даете согласие на использование ваших Метаданных и cookie-файлов.