«Альтернативная ортопедия. Протезирование на имплантатах»

Курс 28 февраля — 01 марта 2026
176 Просмотров
Стоимость: от 39 600 ₽
Место проведения: Москва, улица Талалихина, 33А
Время: с 10:00 до 18:00 по местному времени
Совместный курс для хирургов и ортопедов
«Альтернативная ортопедия. Протезирование на имплантатах»
Хирургическая стоматология Ортодонтия
Посмотреть еще

«Альтернативная ортопедия. Протезирование на имплантатах»

В чем уникальность этого курса?

Разбор сложных клинических случаев совместно с участниками, а также будет происходить планирование этих работ.

Участникам необходимо подготовить сложный клинических случай (по возможности).

Участники совместно с лектором спланируют тактику ведения работы.

Для кого этот курс?

Мы рекомендуем этот курс, как совместный для хирургов и ортопедов.

Для докторов которые совмещают ортопедию и хирургию и делают все этапы самостоятельно.

Курс подойдет для начинающих специалистов в этой области.

Курс для тех, кто уже работает в области ортопедии/хирургии (много полезной информации).

Программа мероприятия:

День 1. Лекционная часть курса:

Имплантология и ортопедия.

1. Биологическая ширина

Так ли все однозначно в области имплантатов?

2. Вводная лекция. Что такое?:

аналог

абатмент

трансфер

скан-маркер

супраструктура

титановое основание

трансфер-чек

абатмент-чек

мультиюнит

ти-бейс

угловой абатмент

В каких случаях это применять? Различные типы соединений. Преимущества и недостатки.

3. Факторы влияющие на воспаление мягких тканей и резорбцию кости в области имплантата.

4. Временное протезирование на имплантатах.

Когда можно обойти этап провизорных реставраций, а когда нет.

5. Фиксация коронки на имплантат.

6. Что делать, если коронка не садиться на имплантат?

7. Виды разрезов и профиль коронки относительно костного рисунка в области имплантата.

8. Планирование конструкции и выбор типа фиксации.

9. Определение оси имплантата.

День 2. Практическая часть курса:

Ортопедия.

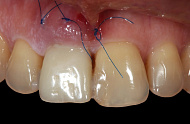
1. Немедленное протезирование на имплантат во фронтальном отделе.

2. Изготовление провизорной реставрации непосредственно на модели. Изготовление силиконового ключа.

3. Формирование профиля прорезывания и окклюзионные взаимоотношения.

4. Изготовление индивидуального трансфера.

5. Изготовление трансфер чека. Методика закрытой и открытой ложки.

6. Снятие оттиска открытой ложкой.

7. Снятие оттисков с уровня имплантатов.

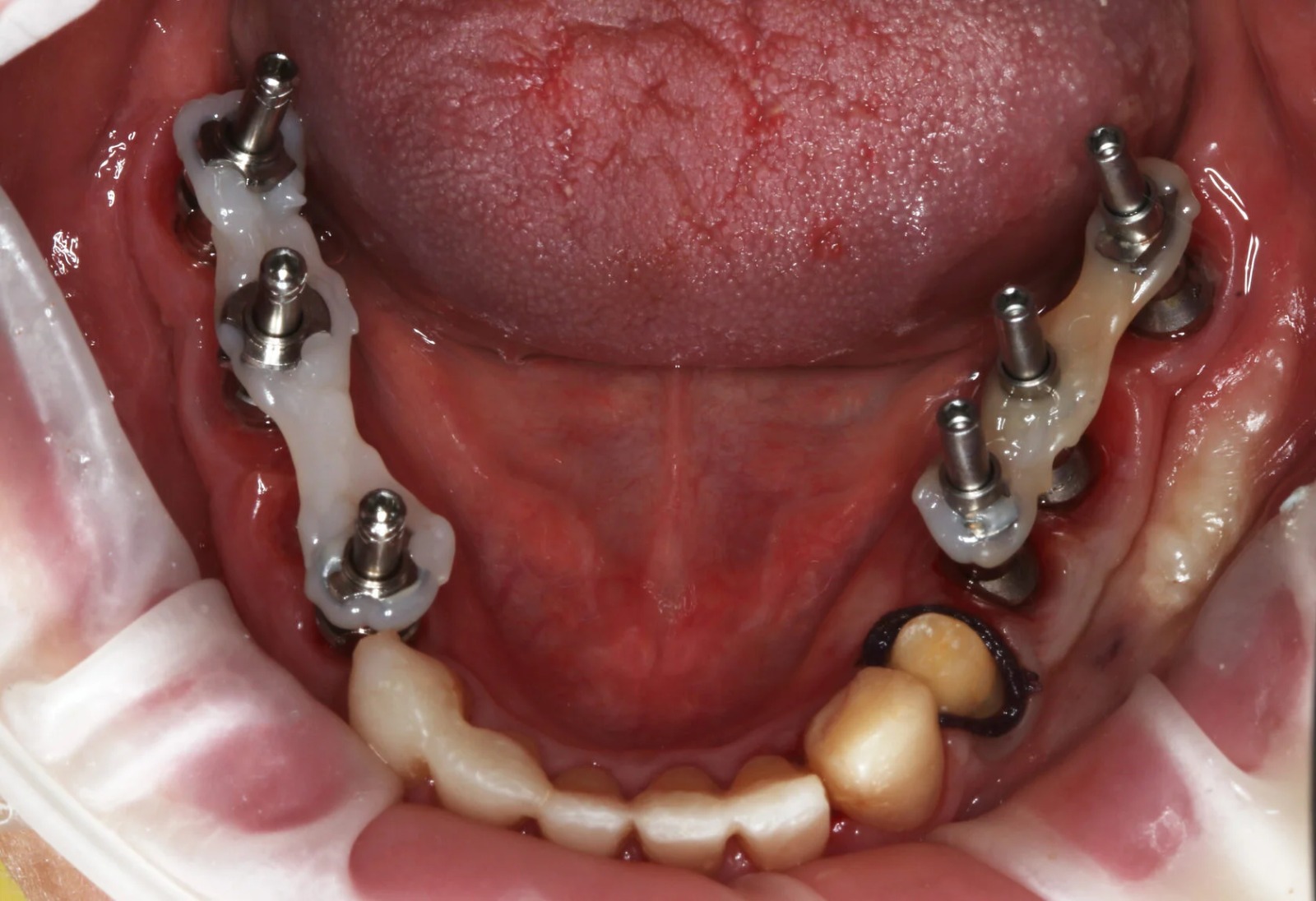
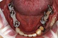
8. Подбор мульти юнитов.

9. Снятие оттисков с уровня мульти юнитов.

10. Установка абатментов. Критерии правильно изготовленного абатмента. Работа с абатмент-чеками. Виды абатментов и титановых оснований, критерий выбора и работы с ними.

11. Установка мостовидного протеза на винтовой фиксации. Критерии правильно изготовленного. мостовидного протеза на винтовой фиксации. Протезирование мостовидными протезами на имплантах. Виды мостовидных протезов.

12. Установка коронок на цементной фиксации.

Бонус!

Демонстрация:

сканирование интраоральным сканером.

использование скан-маркеров в цифровом протоколе.

Практика: (каждый участник отрабатывает своими руками)

препарирование под коронку.

препарирование под винир.

снятие комбинированных оттисков с имплантатов и препарированных зубов.

Почему стоит посетить этот курс?

1 Этот курс поможет разобраться в сложных понятиях аналог, абатмент, трансфер, скан-маркер, супраструктура, титановое основание, трансфер-чек, абатмент-чек, мультиюнит, ти-бейс, угловой абатмент. И в каких случаях это применять?

2 Научитесь грамотно работать с имплантами. Чтобы достичь прогнозируемого результата.

3 Так же поможет грамотно планировать конструкции на имплантатах и выстраивать правильную коммуникацию хирурга и ортопеда.

4 Все навыки будут закреплены на практике. Каждый участник отрабатывает навык на фантомных моделях.

Также в программе:

Вариативность ортопедического лечения.

Оптимальные варианты протезирования при сложных клинических ситуациях, когда выбор стоит удалять или сохранять оставшиеся зубы.

● Зубосохраняющие» методики.

● Выбор восстановления зубов.

Съемное и несъемное протезирование с опорой на свои зубы.

Варианты долгосрочного протезирования с точки зрения практической и эстетической составляющей.

Последствия ношения не корректных съемных протезов.

Актуальность показаний к имплантации.

Биологическое и функциональное обоснование установки имплантатов

Выбор конструкций при оставшихся 2-6 зубах на одной челюсти (как с установкой имплантов так и без).

На этом курсе Вы получите ответы на такие вопросы:

Как взаимодействовать врачу хирургу и ортопеду?

Что друг от друга ожидать и требовать друг от друга? Где и чья зона ответственности?

Как прогнозируемо работать с имплантатами стоматологу-хирургу?

Как стоматологу хирургу не допустить ошибок на этапе протезирования?

Почему у концепции All in 4 очень узкие показания?

Как бороться за сохранность зуба?

Когда это возможно и необходимо?

Что Вы сможете после курса?

После этого курса Вы расширите свой арсенал помощи пациенту при планировании больших работ.

Поймете когда стоит бороться за зуб, а когда стоит его удалить.

Сможете предлагать альтернативу имплантации , когда это необходимо или пациент не рассматривает такой вариант лечения.

Изготавливать прогнозируемые конструкции на имплантатах.

ТАРИФНЫЕ ПЛАНЫ:

*Стоимость указана по акции раннего бронирования.

Свободный слушатель

35 600* руб.

при регистрации

до 31.01.2025 - 35 600 руб.

при регистрации

после 31.01.2025 - 39 600 руб.

Для студентов и ординаторов скидка 3000 руб от тарифа.

- 16 академических часов обучения.

- Сертификат с подписью лектора и печатью учебного центра.

- Обеды и кофе-рейки.

- Блокнот, ручка, пакет.

- Раздаточный материал.

- Общий чат с лектором и поддержка в течение 2-х месяцев после курса.

- Специальные условия на заказ ортопедических конструкций лаборатории Helios.

Интенсивная практика

56 800* руб.

при регистрации

до 31.01.2025 - 56 800 руб.

при регистрации

после 31.01.2025 - 59 800 руб

Для студентов и ординаторов скидка 3000 руб от тарифа.

- 16 академических часов обучения с отработкой практических навыков и постановкой руки каждого участника.

- Сертификат с подписью лектора и печатью учебного центра.

- Обеды и кофе-рейки.

- Блокнот, ручка, пакет.

- Раздаточный материал.

- Общий чат с лектором и поддержка в течение 2-х месяцев после курса.

- Специальные условия на заказ ортопедических конструкций лаборатории Helios.

Фотографии учебного материала

Отзывы: «Альтернативная ортопедия. Протезирование на имплантатах»

Будьте первым, оставьте отзыв!
Стоимость: от 39 600 ₽
Контактная информация
Краснодарский край, городской округ Сочи, посёлок городского типа Дагомыс, улица Гайдара, 5/1

лекторы

Другие курсы
На сайте используются cookie-файлы, которые помогают показывать Вам самую актуальную информацию. Продолжая пользоваться сайтом, Вы даете согласие на использование ваших Метаданных и cookie-файлов.