Чтобы открыть избранное, войдите в свой профиль или зарегистрируйтесь на платформе
Чтобы добавить в избранное, войдите в свой профиль или зарегистрируйтесь на платформе

Как спасти свои зубы после лечения ВНЧС

Вебинар 15 мая — 25 мая 2026
197 Просмотров
Бесплатно
Онлайн
Время: с 10:00 до 14:00 по местному времени
«Как спасти свои зубы после лечения ВНЧС»
Как спасти свои зубы после лечения ВНЧС
Гнатология
Посмотреть еще

Подарки при регистрации на вебинар

Методические материалы по темам:

- Настройка углов артикулятора.

- Как посчитать сагиттально-суставной путь на МРТ.

- Как посчитать суставную щель на МРТ.

Программа вебинара:

Варианты выхода из сплинта.

- Что такое сплинт терапия и для чего она нужна?

Минимальное количество зубов под протезирование после сплинта.

Нужны ли брекеты после сплинта?

Как обойтись без тотала после лечения ВНЧС?

Где граница между выбором тотального протезирования и ортодонтического лечения после сплинта.

Обучение для ортодонтов и гнатологов в Москве по лечению пациентов с дисфункцией ВНЧС.

Ответы на вопросы участников.

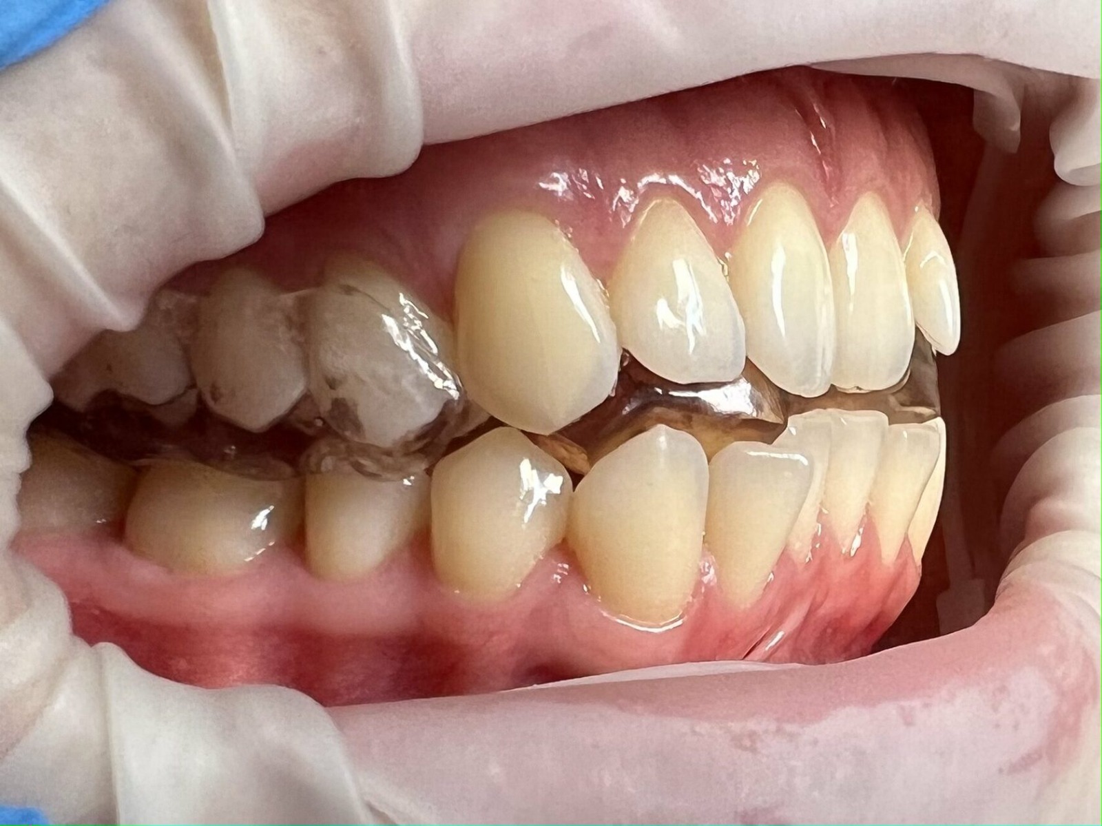
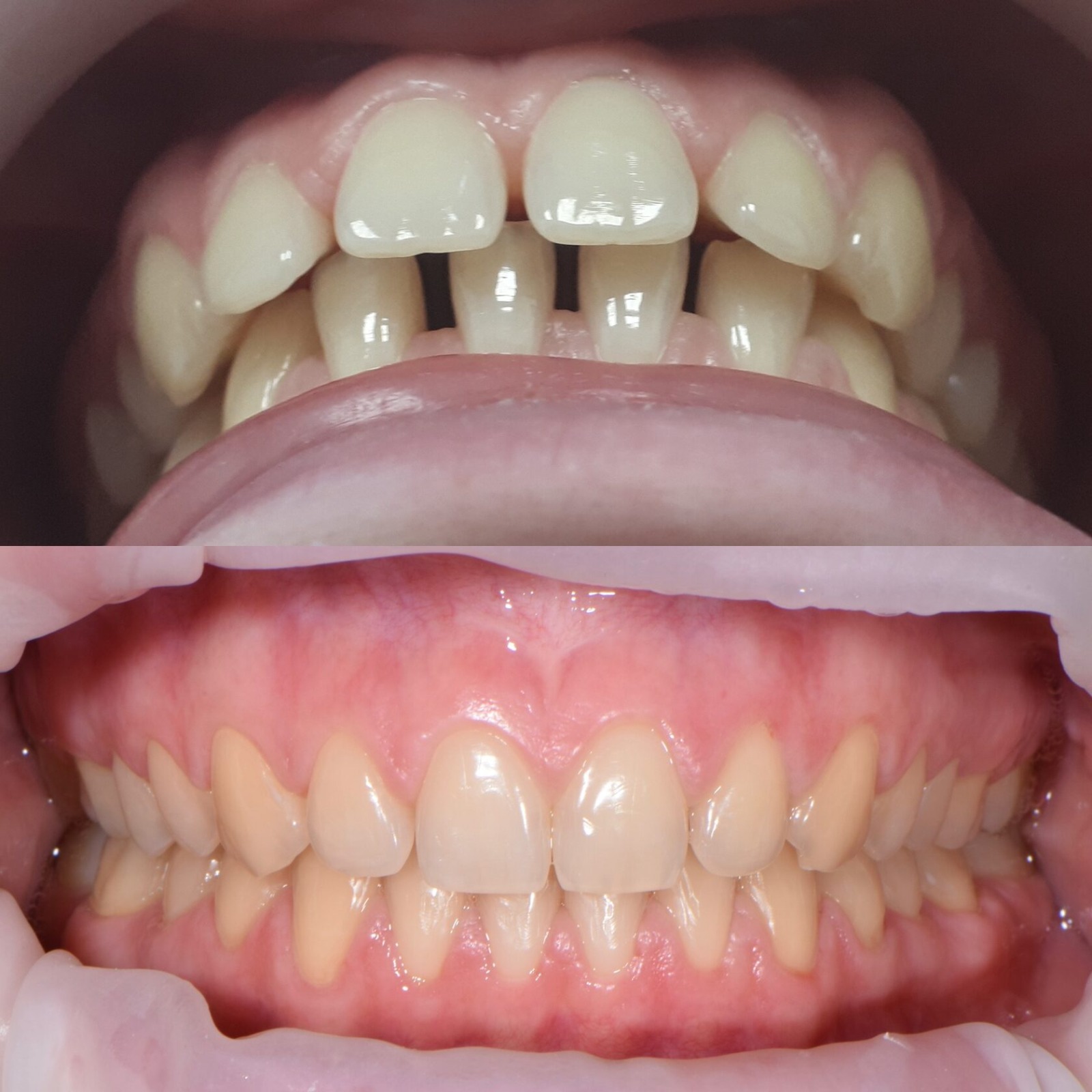
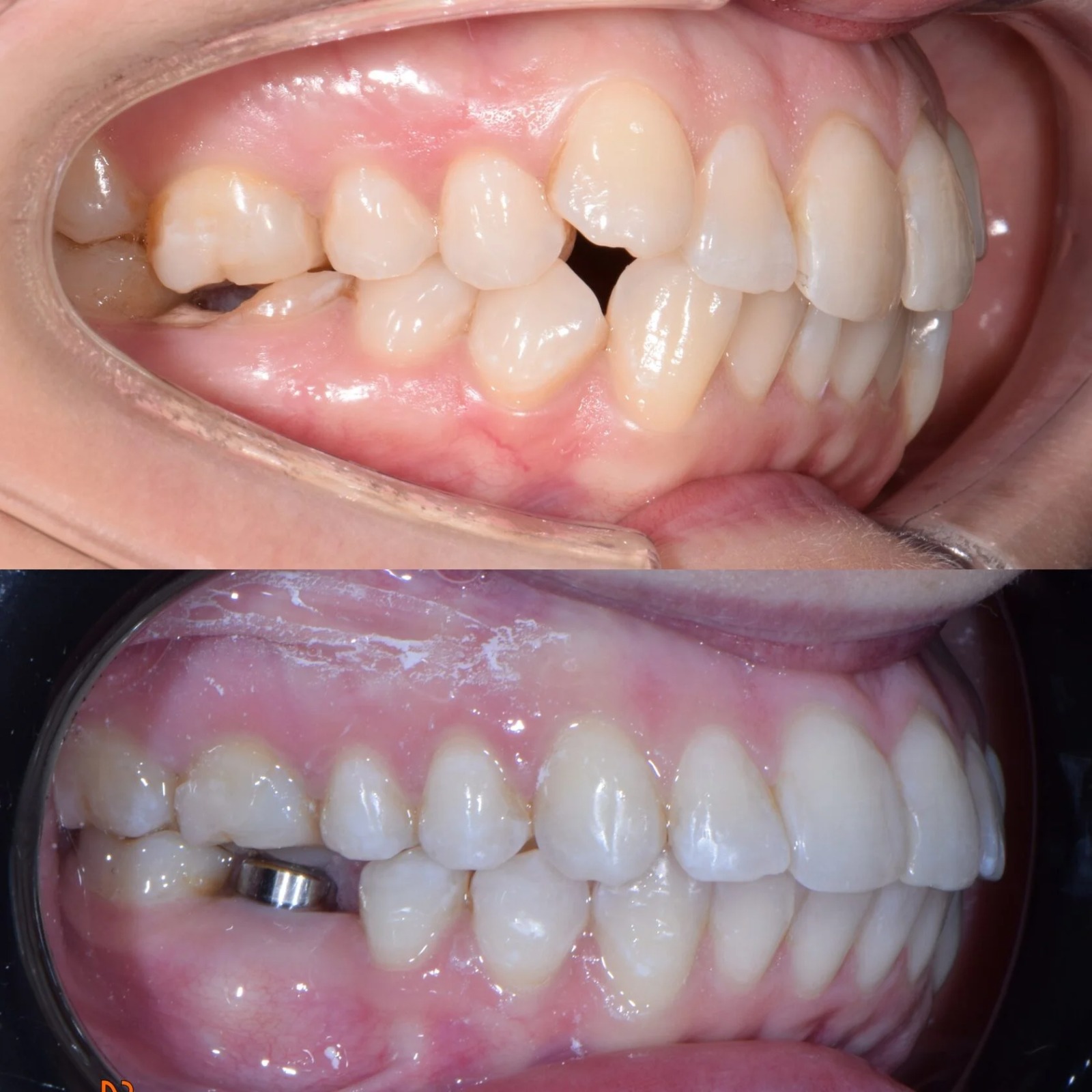
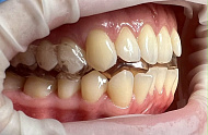
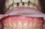
Фотографии учебного материала

Отзывы: Как спасти свои зубы после лечения ВНЧС

Будьте первым, оставьте отзыв!
Бесплатно
Контактная информация
Краснодарский край, городской округ Сочи, посёлок городского типа Дагомыс, улица Гайдара, 5/1

лекторы

Другие курсы
На сайте используются cookie-файлы, которые помогают показывать Вам самую актуальную информацию. Продолжая пользоваться сайтом, Вы даете согласие на использование ваших Метаданных и cookie-файлов.