Чтобы открыть избранное, войдите в свой профиль или зарегистрируйтесь на платформе
Чтобы добавить в избранное, войдите в свой профиль или зарегистрируйтесь на платформе

«Конструкции на имплантатах. Винтовая фиксация при тотальном протезировании. Условно-съёмные конструкции и работы на мультиюнитах»

Курс 13 марта — 15 марта 2026
197 Просмотров
Стоимость: от 42 500 ₽
Место проведения: Краснодарский край, городской округ Сочи, посёлок городского типа Дагомыс, улица Гайдара, 5/1
Время: с 10:00 до 18:00 по местному времени
Совместный курс для стоматологов и зубных техников!
Трехдневный практический курс для зубных техников по работе с тотальными работами на имплантатах!
Двухдневный демонстрационный курс для стоматологов!
«Конструкции на имплантатах. Винтовая фиксация при тотальном протезировании. Условно-съёмные конструкции и работы на мультиюнитах»
Хирургическая стоматология Зубной техник
Посмотреть еще

«Конструкции на имплантатах. Винтовая фиксация при тотальном протезировании. Условно-съёмные конструкции и работы на мультиюнитах»

Этот курс для Вас, если у Вас есть одна или несколько из этих проблем:

1. Доктор не дает нужной информации по тотальным и балочными конструкциям, нет понимания какая информация нужна.

2. Конструкции на балках ломаются и трещат.

3. Нет понимания как автоматизировать работу, что бы сократить сроки.

4. Работы на имплантатах не сидят, есть проблемы с прилеганием к десне, есть баланс балочных конструкций.

5. Не хватает знаний, у Вас мало опыта по изготовлению таких конструкций, или вы хотите научится делать такие.

6. Мало зарабатываете или хотите выйти на новый, более высокий уровень оплаты за свои работы.

7. Низкий или недостаточный объем работы, низкая оплата за них.

8. Неуверенность в себе из-за недостатка знаний и отсутствия обучения.

Что Вам позволит достичь этот интенсивный 3-х дневный курс?

1. Вы научитесь делать тотальные работы и протезирование на балках, как самый высокооплачиваемый вид зуботехнических конструкций.

2. Вы сократите количество переделок и коррекций на всех этапах.

3. Наконец-то избавитесь от бесконечно ломающихся балочных конструкций и поисков ответов «Почему опять так?»

4. Вы автоматизируете работу, сократите сроки и станете сильнее ваших конкурентов.

5. Вы научитесь делать эксклюзивные высокооплачиваемые работы без проблем и переделок.

6. Вы составите четкие требования для докторов, какие данные нужны для успешной работы и сможете им это донести.

После внедрения знаний этого обучения, как профессионал Вы сможете:

1. Повысить качество своих работ и оплату за них.

2. Самому выбирать только хороших докторов и работать в свое удовольствие.

3. Выйти на новый уровень дохода 500+, за счет изготовления сложных и дорогих работ.

4. Выйти на уровень качественных работ, делать ВИП и эксклюзив.

5. Ускорить и автоматизировать процесс, за счет внедрения технологий полученных на курсе.

6. Получить больше свободного времени и желаемые 2 выходных в неделю.

7. Наладить коммуникацию и взаимопонимание с доктором.

8. Открыть свою лабораторию и делать крутые эксклюзивные работы.

9. Стать знаменитым техником в профессиональном сообществе.

10. Хорошо зарабатывать, делая не торопясь красивые работы.

11. Проводить больше времени с семьей и путешествовать.

Павел Кравец – практика для техника 3 дня 13 - 15 марта 2026.

Как будет построен этот курс:

- За несколько часов теоретической части Павел объяснит как выбирается тип конструкции, почему именно винтовая фиксация, а не балка, как выбирается тип материала, в зависимости от того, в каком клиническом случае делается винтовая фиксация из композита, в каком случае применяются гарнитурные зубы, в каком случае изготавливается металлокерамика, а в каком случае делаются циркониевые конструкции.

- Также будут примеры кейсов, т.е. не просто теория, но и наглядная демонстрация подтвержденная опытом изготовленных работ.

- Будет сделан особый акцент на планировании, совместно с ортопедом, когда приходит пациент с беззубой челюстью и нужно понять, и правильно расположить имплантаты в зависимости от скелетного класса пациента, в зависимости от желаемого результата (несъёмные, условно съёмные конструкции).

- Какой вид имплантатов выбирать и какие должны быть произведены манипуляции.

- Изготовление прототипа, планирование положения мультиюнитов, высота мультиюнитов и прочие важные аспекты.

- Планирование конструкций с немедленной нагрузкой, изготовление временного протеза из ПММА, изготовление армированного временного протеза.

- Принципы определения фонетики, принципы определения эстетики, для того, чтобы это перенести в постоянную конструкцию (керамику, цирконий, акрил и т.д).

На практической части:

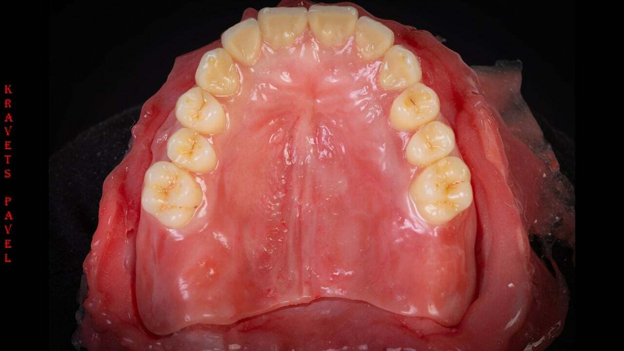
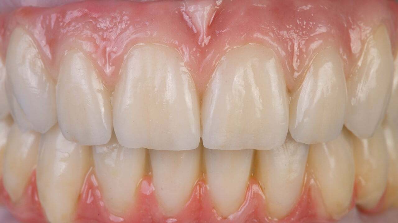
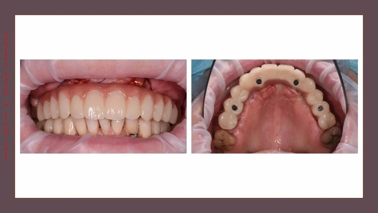
- Каждый участник изготовит постоянную конструкцию на 4х имплантатах на винтовой фиксации!

Это будет металлическая культевая балка с гарнитурными зубами, как мануально, так и по цифровому протоколу. Данный метод построения справедлив как для циркониевых, так и для металлокерамических протезов на винтовой фиксации. Так и для конструкций, облицованных композитом.

- Проведет сканирование на сканере, отфрезерует на фрезере из воска и отпечатает на принтере каркас.

- Мануально из патерн-резины сделает каркас.

- Все участники работают в артикуляторах.

- Каждый участник сделает постановку одной челюсти.

- Отмоделирует балку.

- Сделаем постановку с учетом функции и эстетики.

- Сделает обвоиды.

День 1:

- Гипсовка в артикулятор.

- Постановка зубов.

- 3D сканирование постановки.

- Особенности мануального моделирования каркаса.

- Особенности цифрового моделирования каркаса.

День 2:

- Посадка каркаса.

- Вклейка оснований.

- Нанесение опака.

- Приварка зубов методом горячей полимеризации.

День 3:

- Моделирование базиса.

- Формирование овоида в области десны.

- Замена воска на базис из акрила с индивидуализацией кандулор.

Бонус от Павла Кравца: Как делать временные конструкции из ПММа в exocad (демонстрация)

Кирилл Бровко 14 - 15 марта 2026.

2 дня демонстрации + снятие оттисков + сканирование

Как будет построен этот курс:

Что вы узнаете на этом курсе?

Интраоральное сканирование. Принципы и правила.

Особенности выбора имплантатов.

Хирургический протокол.

Выбор слепочной массы.

Определение центрального соотношения.

Снятие оттисков с имплантатов. Закрытые и открытые ложки. Аналоговый и цифровой метод.

Индивидуализация трансферов.

Изготовление временной коронки прямым методом.

Планирование тотальных.

Изготовление трансфер-чеков.

Фотопротокол.

Обзор новинок мировой имплантологии.

1-й день

Работа с одиночными имплантатами и конструкции с небольшой протяженностью.

1. Слепок и цифровое сканирование. Преимущества и недостатки.

2. Этап временного протезирования. Требования к временным коронкам. На что стоит обращать внимание.

3. Индивидуализация трансфера.

4. Выбор типа реставрации на имплантат.

5. Изготовление временной коронки на импланте

Индивидуализация трансфера.

2-й день – мастер-класс на беззубой челюсти от планирования до фиксации

Демонстрация на моделях.

1. Подбор МЮ в зависимости от конструкции.

2. Выбор протезирования в зависимости от скелетного класса.

3. Снятие слепка с индивидуальной ложкой и заранее изготовленным трансфер-чеком.

4. Использование центрофикса при работе на имплантах.

5. Изготовление хирургического шаблона.

6. Этап временного протезирования на моделях.

7. Постоянная конструкция на моделях.

8. Сканирование работы на имплантатах.

Участникам желающим освоить цифровое моделирование необходимо принести с собою компьютеры.

Участники получат в подарок запись с Bandikam с процессом моделирования PMMA.

ТАРИФНЫЕ ПЛАНЫ:

*Стоимость указана по акции раннего бронирования

Свободный слушатель

39 500* руб.

Что включено в тариф:

При регистрации до 31.10.2025 - 39 500 руб.

При регистрации после 31.10.2025 - 42 500 руб.

- Участие в трехдневном курсе 13-15 марта 2026.

- Практическая отработка навыков отсутствует!

- Обед.

- 2 кофе-брейка ежедневно.

- Доступ в закрытый чат WhatsApp с лектором, для поддержки участников после курса.

- Профессиональный фотоотчет после курса + фото с лектором.

- Сертификат участника с подписью лектора и указанием тарифа «практика».

- Блокнот, ручка.

- Журнал «Зубной техник» в подарок!

Лекция + демонстрация для стоматолога

36 000* руб.

Что включено в тариф:

При регистрации до 31.10.2025 - 36 000 руб.

При регистрации после 31.10.2025 - 39 000 руб.

- Участие в двухдневном курсе 14-15 марта 2026.

- Практическая отработка навыков отсутствует.

- Обед.

- 2 кофе-брейка ежедневно.

- Доступ в закрытый чат WhatsApp с лектором, для поддержки участников после курса.

- Профессиональный фотоотчет после курса + фото с лектором.

- Сертификат участника с подписью лектора и указанием тарифа «теория».

- Блокнот, ручка.

- Журнал «Современная ортопедическая стоматология» в подарок!

Практика для зубного техника

88 900* руб.

Что включено в тариф:

При регистрации до 31.10.2025 - 88 900 руб.

При регистрации после 31.10.2025 - 92 900 руб.

- Участие в трехдневном курсе 13-15 марта 2026.

- Практическая отработка навыков.

- Конструкция изготовленная на курсе остается у участников.

- Обед.

- 2 кофе-брейка ежедневно.

- Доступ в закрытый чат WhatsApp с лектором, для поддержки участников после курса.

- Профессиональный фотоотчет после курса + фото с лектором.

- Сертификат участника с подписью лектора и указанием тарифа «практика».

- Блокнот, ручка.

- Журнал «Зубной техник» в подарок!

Часто задаваемые вопросы:

Предусмотрено ли питание на курсе?

Да! Для участников курса предусмотрены обед и кофе-брейк.

Обед включает в себя: Комплексный обед или шведский стол.

*Комплексный обед состоит из:

- Первого блюда (суп/салат).

- Горячего блюда (курица/рыба + гарнир), а также напитка (сок/морс).

Кофе-брейк включает в себя:

Питьевую воду, чай чёрный и зелёный, зерновой кофе, молоко, сахар, снеки, легкие закуски и фрукты.

*Наше меню разработано с заботой о Вас - без использования майонеза и свинины.

Что делать, если мне необходимо специальное меню (диета/ аллергия/ религиозные ограничения)?

- Обязательно сообщите об этом нашему организатору курса, но не позднее, чем за 10 дней до его начала!

Будет ли у меня именной сертификат?

- Именной сертификат выдается каждому участнику по итогам прохождения курса.

Где будет проходить курс?

- г. Сочи, пос. Дагомыс, Гайдара 5/1

Фотографии учебного материала

Отзывы: «Конструкции на имплантатах. Винтовая фиксация при тотальном протезировании. Условно-съёмные конструкции и работы на мультиюнитах»

Будьте первым, оставьте отзыв!
Стоимость: от 42 500 ₽
Контактная информация
Краснодарский край, городской округ Сочи, посёлок городского типа Дагомыс, улица Гайдара, 5/1

лекторы

Другие курсы
На сайте используются cookie-файлы, которые помогают показывать Вам самую актуальную информацию. Продолжая пользоваться сайтом, Вы даете согласие на использование ваших Метаданных и cookie-файлов.