«Моделирование тотального Wax Up»

Вебинар 12 января — 25 января 2026
107 Просмотров
Стоимость: от 4 000 ₽
Онлайн
Время: с 10:00 до 15:00 по местному времени
Аналогов подобных разборов нет ни в одном учебном центре, уникальный новый проект от учебного центра Helios!
«Моделирование тотального Wax Up»
Зубной техник
Посмотреть еще
В чем уникальность этого разбора?

Участники присылают кейсы живых работ на почту (уже смоделированных), лектор отбирает самый интересный и сложный случай и разбирает его онлайн в прямом эфире (анонимно).
Участники видят живую работу, все сложности которые могут возникнуть на этапе моделировки, то с чем каждый зубной техник сталкивается ежедневно (а не ровные фантомные зубы, которые практически не встречаются на практике)

Содержание разбора:
- Какая информация нужна для моделирования тотальной работы (фото, КТ).
- Подгрузка фото и КТ - особенности и тонкости.
- Выбор длинны и позиции зубов (размеры, длина, ширина).
- Статическая и динамическая окклюзия.
- Эстетическое моделирование.
- Как работать, когда нет фото, КТ и т.д (например, ели работа пришла с не информативными фотографиями или без фото вовсе, как смоделировать такую работу).
- Какие фото необходимы.
- Последовательное моделирование тотальной работы.
- Постановка фронтальных зубов. Проверка протрузионных движений. Проверка латератрузионных движений.
- Постановка жевательных зубов. Установка сферы монсона. Расположение окклюзионных контактов.
- Коррекция библиотеки зубов.
- Ответы на вопросы участников.
Некогда смотреть вебинар? Получи методический материал в формате PDF по функциональному моделированию зубов от Дмитрия Филинова совершенно бесплатно!
Перейди в наш телеграм-бот, и получи доступ к методическим материалам! Смотри и изучай когда удобно! А в телеграм-канале, посвященному вебинару, ты сможешь задать интересующие тебя вопросы! Все зарегистрировавшиеся на вебинар получат ссылку на этот материал в письме с подтверждением регистрации.

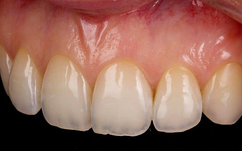
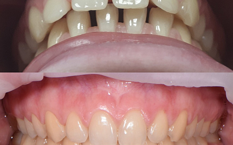
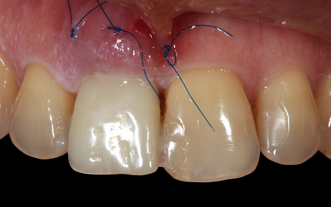
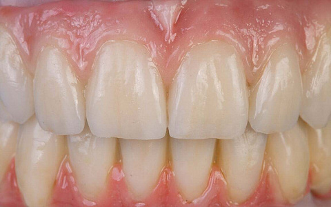
Фотографии учебного материала

Лектор вебинара:

Отзывы: «Моделирование тотального Wax Up»

Будьте первым, оставьте отзыв!
Стоимость: от 4 000 ₽
Контактная информация
Краснодарский край, городской округ Сочи, посёлок городского типа Дагомыс, улица Гайдара, 5/1

лекторы

Другие курсы
На сайте используются cookie-файлы, которые помогают показывать Вам самую актуальную информацию. Продолжая пользоваться сайтом, Вы даете согласие на использование ваших Метаданных и cookie-файлов.