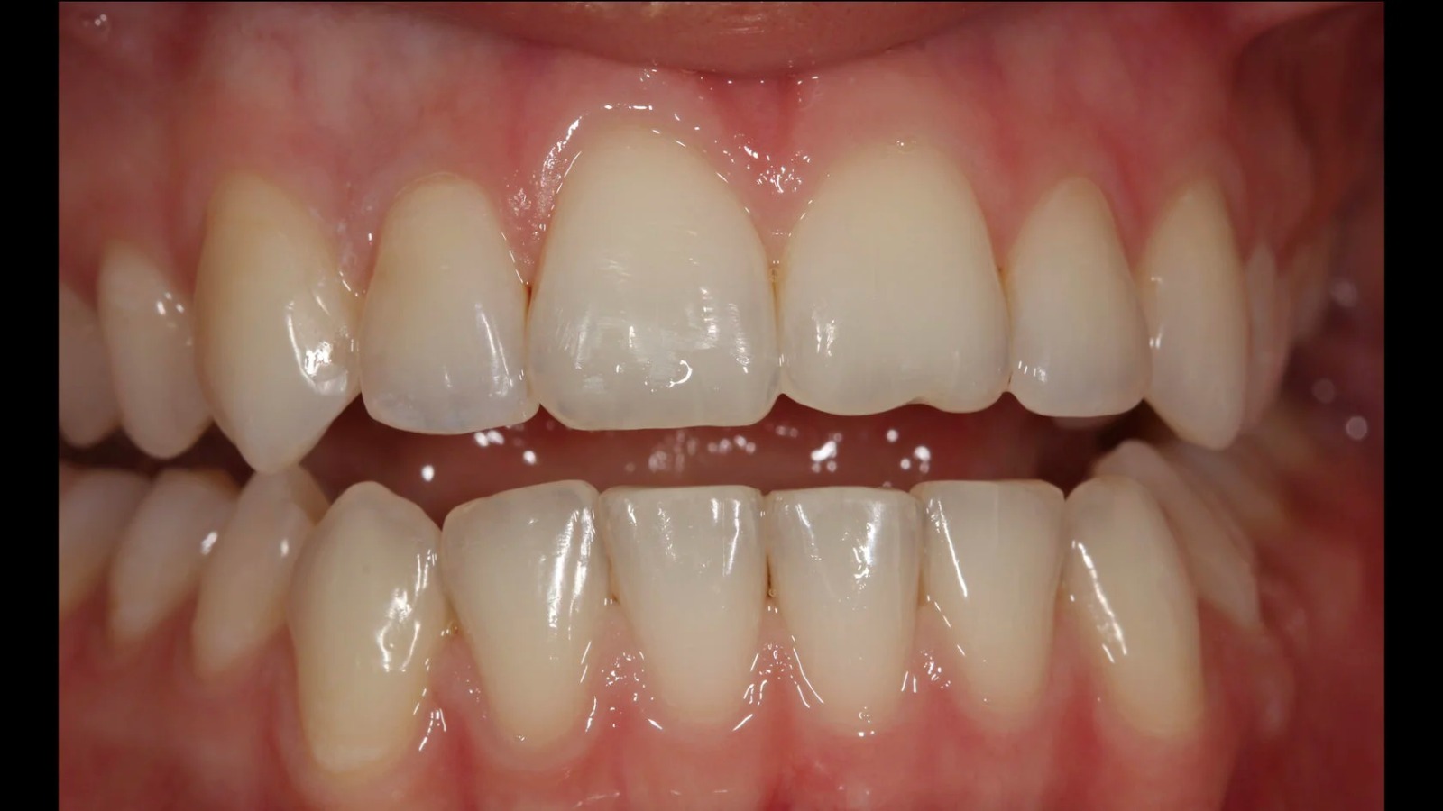
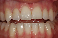
Особенности изготовления ультратонких виниров без препарирования

Вебинар 18 мая — 31 мая 2026
184 Просмотра
Бесплатно
Онлайн
Время: с 10:00 до 12:00 по местному времени
«Особенности изготовления ультратонких виниров без препарирования»
Особенности изготовления ультратонких виниров без препарирования
Зубной техник
Посмотреть еще

Содержание вебинара:

Вопросы на которые Андрей Черных даст ответы на мероприятии:

  • О себе как о лекторе и о зубном технике.
  • Выбор материала для изготовления ультратонких виниров.
  • Требования к оттиску.
  • Возможно ли сделать качественный винир без препарирования?
  • Особенности изготовления виниров на огнеупорных штампиках.

Фотографии учебного материала

Отзывы: Особенности изготовления ультратонких виниров без препарирования

Будьте первым, оставьте отзыв!
Бесплатно
Контактная информация
Краснодарский край, городской округ Сочи, посёлок городского типа Дагомыс, улица Гайдара, 5/1

лекторы

Другие курсы
На сайте используются cookie-файлы, которые помогают показывать Вам самую актуальную информацию. Продолжая пользоваться сайтом, Вы даете согласие на использование ваших Метаданных и cookie-файлов.