«Симметрия формы и цвета. Живая эстетика и индивидуализация в полно анатомических конструкциях из диоксида циркония»

Курс 14 февраля — 15 февраля 2026
115 Просмотров
Стоимость: от 40 000 ₽
Завершено Мероприятие не актуально, даты проведения мероприятия 14 февраля-15 февраля 2026
Место проведения: Москва, улица Талалихина, 33А
Время: с 10:00 до 18:00 по местному времени
Двухдневный практический курс для зубных техников
«Симметрия формы и цвета. Живая эстетика и индивидуализация в полно анатомических конструкциях из диоксида циркония»
Зубной техник
Посмотреть еще

«Симметрия формы и цвета. Живая эстетика и индивидуализация в полно анатомических конструкциях из диоксида циркония»

Программа мероприятия:

Первый день и первый формат окрашивания:

Окрашивание 6 фронтальных зубов по схеме для повседневных работ. Более эстетически спокойная структура, которая делается зубным техником на потоке по определенному стандарту, не индивидуализирует. Когда нет необходимости “вписать” реставрацию в зубной ряд. Когда просто нужно “оживить” полно анатомическую реставрацию. Т.е. стандартная структура в работах от двух фронтальных зубов до тотальной работы.

Теория:

- Демонстрация кейсов.

- Анализ натуральных зубов, внутренняя структура, схематический разбор.

- Рабочие схемы окрашивания полно анатомических конструкций для повседневных работ, с использованием керамических красителей Ivocolor.

- Протокол окрашивания.

Демонстрация:

- Контурирование и карвинг для создания симметрии формы и морфологии синтезированного циркона 6-ти фронтальных зубов.

Практика: (отрабатывает навык каждый участник)

- Подготовка циркона к этапу окрашивания.

- Окрашивание 6-ти фронтальных зубов по рабочей схеме для повседневных работ.

- Предметное фото готовой работы и анализ.

Второй день и второй формат окрашивания:

Тот случай, когда необходимо вписать один зуб или включенный мост в зубной ряд и нам необходимо добиться на полной анатомии индивидуализации. Где-то глубокая эмаль, где-то прозрачность, где-то новое ядро, где-то не такую структуру как на стандартных работах. Стираемость, переходы дентин, прозрачка, трещины глубокие и поверхностные, меловидные пятна.

Теория:

- Разбор эффектов и индивидуализаций на примере фотографий натуральных зубов - трещины, высокая прозрачность, дентин - эмалевые переходы.

- Алгоритм окрашивания с применением эффектов.

Практика:

- Окрашивание 2-ух фронтальных зубов из диоксида циркония в полную анатомию.

- Фото готовой работы и анализ.

- Выдача сертификата.

Второй формат окрашивания - это индивидуализация и характеризация - трещины , глубокая прозрачность , зубнойналет , нестандартная дентиновая структура.

ТАРИФНЫЕ ПЛАНЫ:

*Стоимость указана по акции раннего бронирования.

Свободный слушатель -43 000 руб. 

Что включено в тариф:

- Обеды.

- Кофе-брейки.

- Полезные раздаточные материалы.

- Сертификат участника с подписью лектора и печатью учебного центра.

- Отработка практических навыков отсутствует.

- Общий Whatsapp чат с участниками и лектором, для ответов на вопросы.

- Методический материал для применение на практике участников.

Практика - 92 000 руб.

Что включено в тариф:

- Обеды.

- Кофе-брейки.

- Полезные раздаточные материалы.

- Сертификат участника с подписью лектора и печатью учебного центра.

- Отработка практических навыков с постановкой руки каждого техника.

- Общий Whatsapp чат с участниками и лектором, для ответов на вопросы.

- Методический материал для применение на практике участников.

Часто задаваемые вопросы:

Предусмотрено ли питание на курсе?

Да! Для участников курса предусмотрены обед и кофе-брейк.

Обед включает в себя: Комплексный обед или шведский стол.

*Комплексный обед состоит из:

- Первого блюда (суп/салат).

- Горячего блюда (курица/рыба + гарнир), а также напитка (сок/морс).

Кофе-брейк включает в себя:

Питьевую воду, чай чёрный и зелёный, зерновой кофе, молоко, сахар, снеки, легкие закуски и фрукты.

*Наше меню разработано с заботой о Вас - без использования майонеза и свинины.

Что делать, если мне необходимо специальное меню (диета/ аллергия/ религиозные ограничения)?

- Обязательно сообщите об этом нашему организатору курса, но не позднее, чем за 10 дней до его начала!

Будет ли у меня именной сертификат?

- Именной сертификат выдается каждому участнику по итогам прохождения курса.

Где будет проходить курс?

- г. Москва , УЦ Helios, Талалихина 33а.

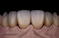
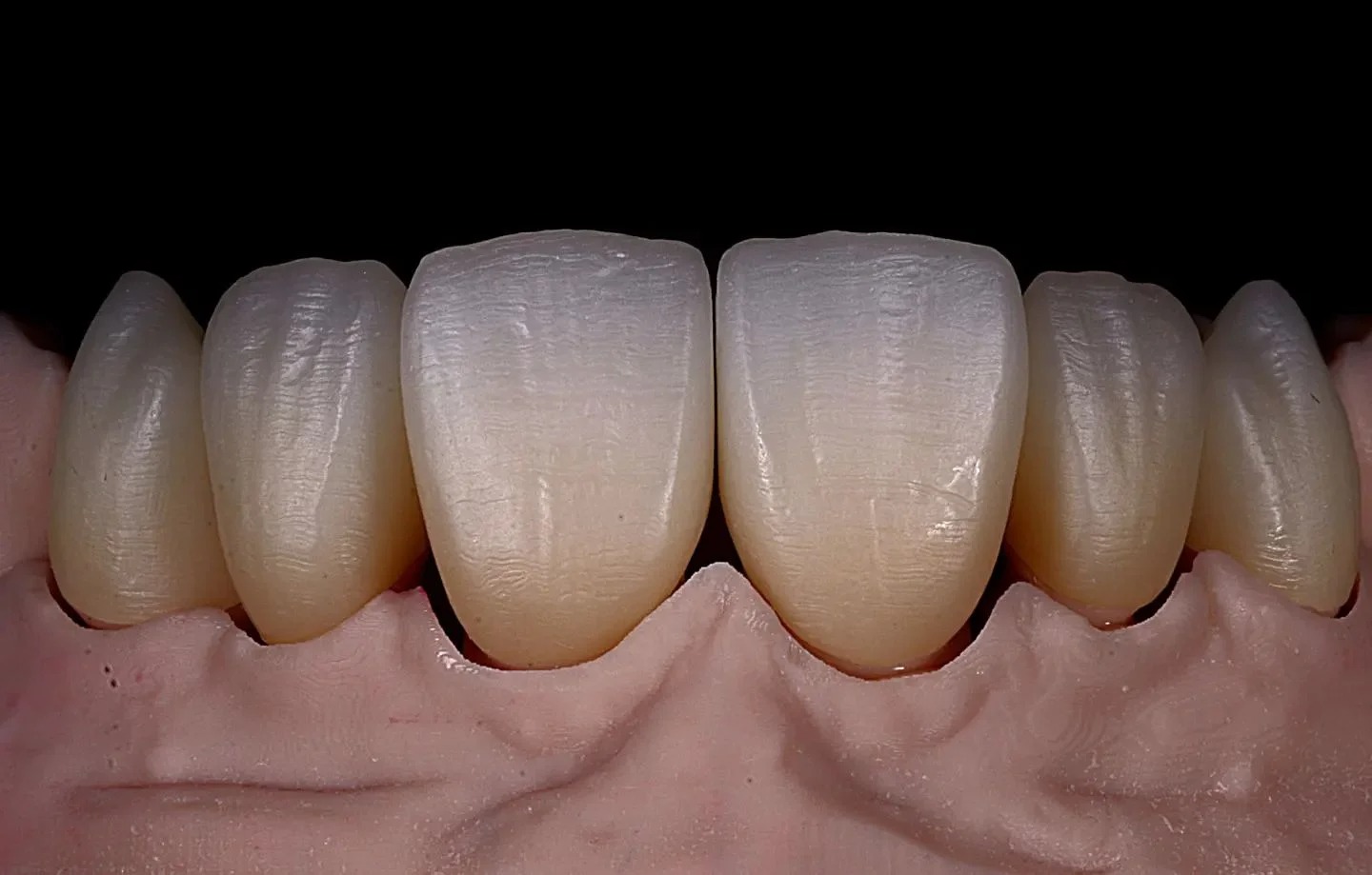
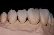
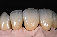
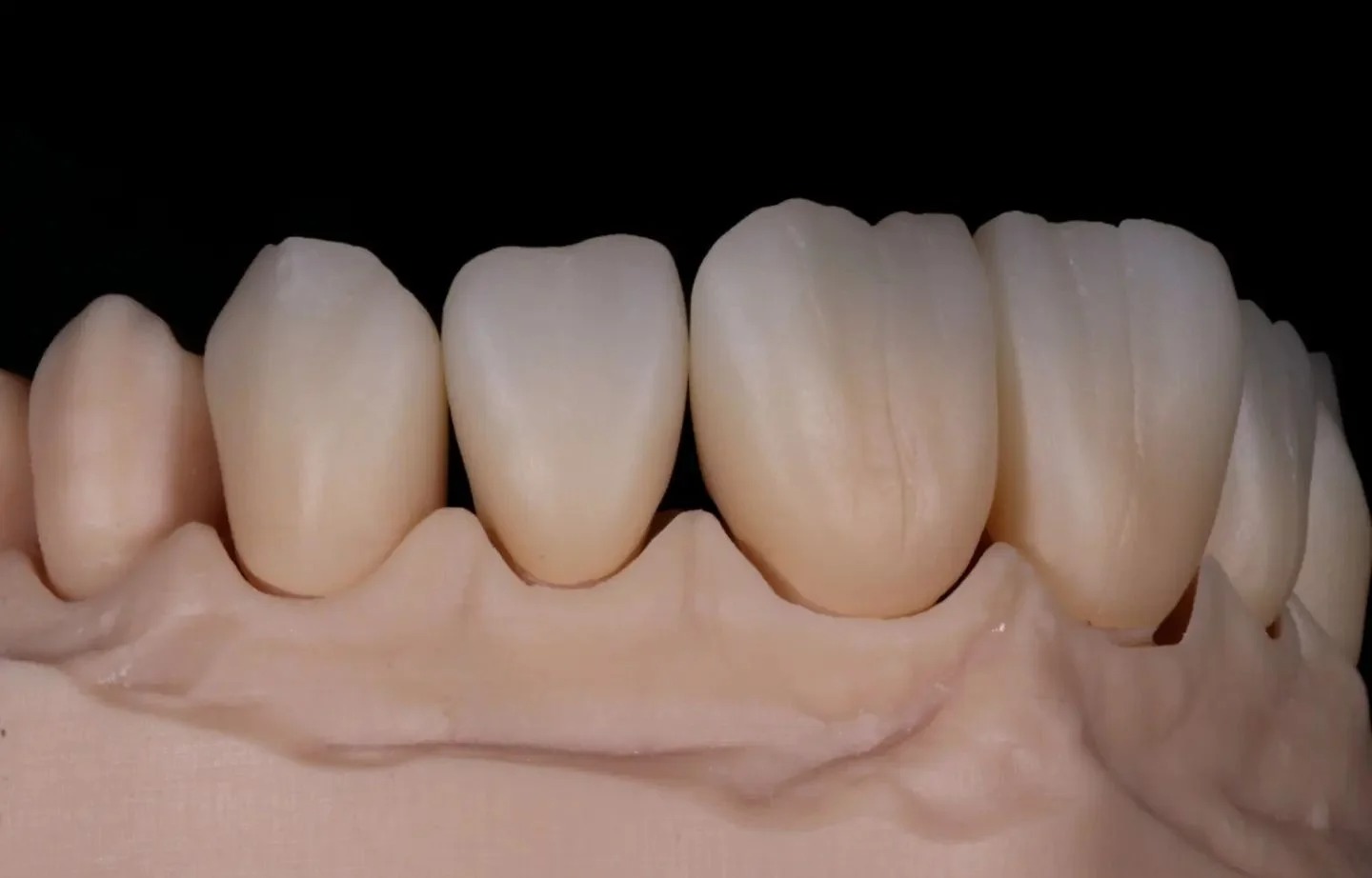
Фотографии учебного материала

Лектор курса:

Завершено Мероприятие не актуально, даты проведения мероприятия 14 февраля-15 февраля 2026

Отзывы: «Симметрия формы и цвета. Живая эстетика и индивидуализация в полно анатомических конструкциях из диоксида циркония»

Будьте первым, оставьте отзыв!
Стоимость: от 40 000 ₽
Завершено Мероприятие не актуально, даты проведения мероприятия 14 февраля-15 февраля 2026
Контактная информация
Краснодарский край, городской округ Сочи, посёлок городского типа Дагомыс, улица Гайдара, 5/1

лекторы

Другие курсы
На сайте используются cookie-файлы, которые помогают показывать Вам самую актуальную информацию. Продолжая пользоваться сайтом, Вы даете согласие на использование ваших Метаданных и cookie-файлов.