«Тотальная реабилитация на multi-unit абатментах в полном цифровом протоколе. Живая демонстрация на пациенте»

Курс 18 апреля 2026
71 Просмотр
Общая стоимость: 48 000 ₽ 55 000 ₽
Место проведения: Москва, улица Талалихина, 33А
Время: с 09:00 до 20:00 по местному времени
«Тотальная реабилитация на multi-unit абатментах в полном цифровом протоколе. Живая демонстрация на пациенте»
«Тотальная реабилитация на multi-unit абатментах в полном цифровом протоколе. Живая демонстрация на пациенте»
Ортопедическая стоматология Зубной техник
Посмотреть еще

В чем уникальность этого курса?

На курсе будет проведена online-трансляция операции по установке имплантатов с использованием хирургического шаблона.

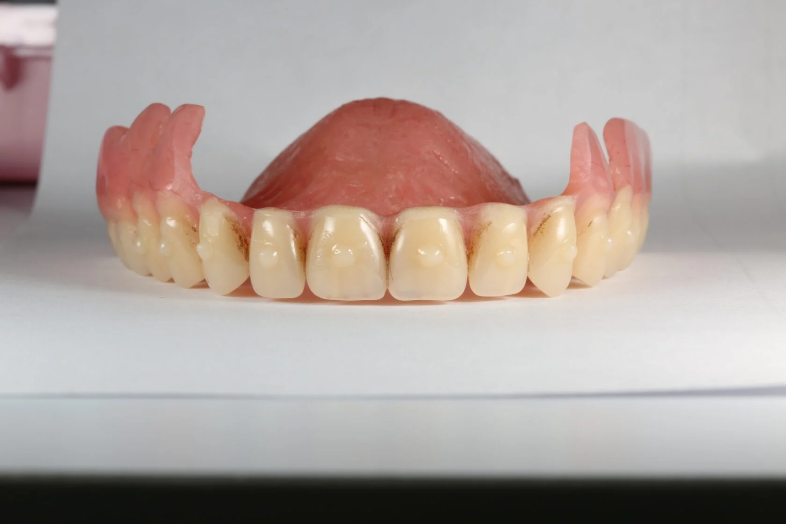
Сканирование внутриротовым сканером и последующая моделировка временной конструкции зубным техником в лекционном зале.

По завершении курса будет зафиксирована временная конструкция на имплантатах. Все эти этапы будут продемонстрированы участникам воочию всего за 1 день!

Для кого этот курс?

Для стоматологов-ортопедов

Для стоматологов-хирургов

Программа курса:

Интенсивная теория и живая демонстрация на пациенте:

1. Первичная диагностика пациента перед имплантацией. КТ, фотопротокол, интраоральные сканы полости рта.

2. Подбор имплантатов, мульти юнитов, их расстановка в зависимости от клинической ситуации.

3. Цифровое планирование дизайна улыбки в ExoCad и удаленное взаимодействие зубного техника и ортопеда.

4. Навигационная хирургия, включая моделирование хирургического шаблона. Изготовление разборного хирургического шаблона.

5. Особенности хирургического протокола при тотальной реабилитации (первичная стабильность, пластика десны, немедленная нагрузка).

6. Особенности ортопедического протокола (сканирование внутриротовым сканером полной дуги для изготовления временной и постоянной конструкции).

7. Особенности лабораторного этапа (дизайн временной и постоянной конструкции, выбор материалов).

8. Установка готовой конструкции в полости рта.

Тайминг мероприятия: 9:00-20:00

9:00 - 9:40 Вступительное слово.

10:00 - 12:00 Операция (Онлайн трансляция на пациенте).

12:00 - 12:30 Кофе-брейк.

12:30 - 13:30 Моделирование временной конструкции и отправка ее в лабораторию.

13:30 - 15:00 Тотальная реабилитация при помощи конструкций на винтовой фиксации. От хирургии до протезирования Ч1.

15:00 - 16:00 Обед.

16:00 - 17:00 Зуботехническая лаборатория сегодня.

17:00 - 18:30 Тотальная реабилитация при помощи конструкций на винтовой фиксации. От хирургии до протезирования Ч2.

18:30 - 19:00 Кофе-брейк.

19:00 - 20:00 Фиксация конструкции.

Ключевые моменты курса:

Работа в полном цифровом протоколе.

Изготовление хирургических шаблонов.

Немедленная нагрузка.

Зубы за один день.

Живая демонстрация установки имплантатов на пациенте.

ТАРИФНЫЕ ПЛАНЫ:

*Стоимость указана по акции раннего бронирования.

Стоимость участия в курсе

48 000* руб.

при регистрации до 30.11.2025 - 48 000 руб.

при регистрации с 1.12.2025 до 25.12.2025 - 52 000 руб.

при регистрации после 25.12.2025 - 55 000 руб.

- Обед.

- Кофе-брейк.

- Полезные раздаточные материалы.

- Лекционная часть + видео демонстрация живой операции в день курса.

- Сертификат участника с подписью лектора и печатью учебного центра.

- Подробный методический материал со всеми клиническими этапами в PDF формате.

- Общий Whatsapp чат с участниками и лектором, для ответов на вопросы.

Для зубных техников

Фотографии учебного материала

Отзывы: «Тотальная реабилитация на multi-unit абатментах в полном цифровом протоколе. Живая демонстрация на пациенте»

Будьте первым, оставьте отзыв!
Общая стоимость: 48 000 ₽ 55 000 ₽
Контактная информация
Краснодарский край, городской округ Сочи, посёлок городского типа Дагомыс, улица Гайдара, 5/1

лекторы

Другие курсы
На сайте используются cookie-файлы, которые помогают показывать Вам самую актуальную информацию. Продолжая пользоваться сайтом, Вы даете согласие на использование ваших Метаданных и cookie-файлов.