Чтобы открыть избранное, войдите в свой профиль или зарегистрируйтесь на платформе
Чтобы добавить в избранное, войдите в свой профиль или зарегистрируйтесь на платформе

Экструзия зуба мудрости или как избежать травмы нижнелуночкового нерва.

8 минут
808

История удаления  сложного зуба мудрости.

Пациент обратился с жалобами на дискомфорт и болевые ощущения в области зуба мудрости. На снимке видно дефект коронковой части, это не кариес, а дисплазия эмали.

диагностическая ОПТГ
диагностическая ОПТГ

Удаление данного зуба представляло высокий риск из-за возможного повреждения нижнечелюстного нерва, что могло привести к онемению нижней губы, подбородка.

Для избежания осложнений  было принято решение о проведении ортодонтического вытяжения зуба  с  последующим его удалением.

Для этого были использованы три кнопки, тяги и винт.

Аккуратно сформирован доступ к ретинированному зубу
Аккуратно сформирован доступ к ретинированному зубу
Произведено иссечение тканей коронковой части зуба
Произведено иссечение тканей коронковой части зуба
Установлен ортодонтический минивинт и три кнопки 
Установлен ортодонтический минивинт и три кнопки 
Произвдена активация с помощью ортодонтичечских тяг
Произвдена активация с помощью ортодонтичечских тяг
послеоперационная ОПТГ 
послеоперационная ОПТГ 

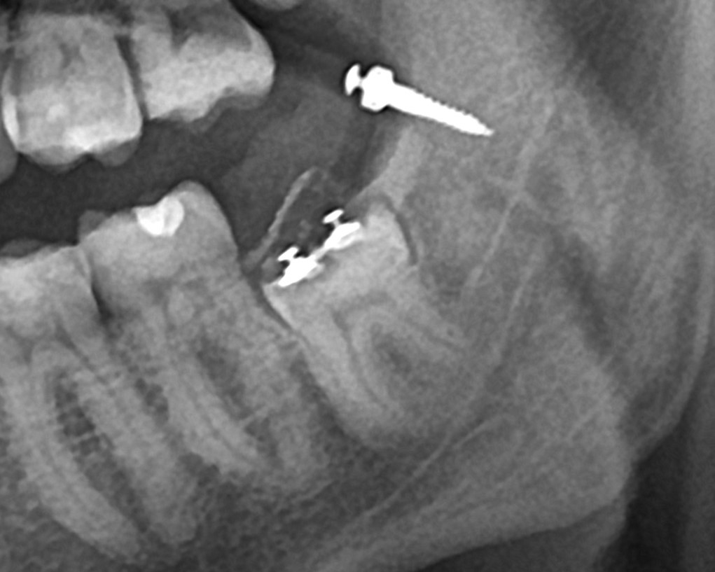
По данным ортопантомограммы (ОПТГ), проведенной через 7 недель после начала лечения, отмечалось недостаточное перемещение зуба.

ОПТГ через 7 недель. Уже заметен контур корня в области апекса.
ОПТГ через 7 недель. Уже заметен контур корня в области апекса.

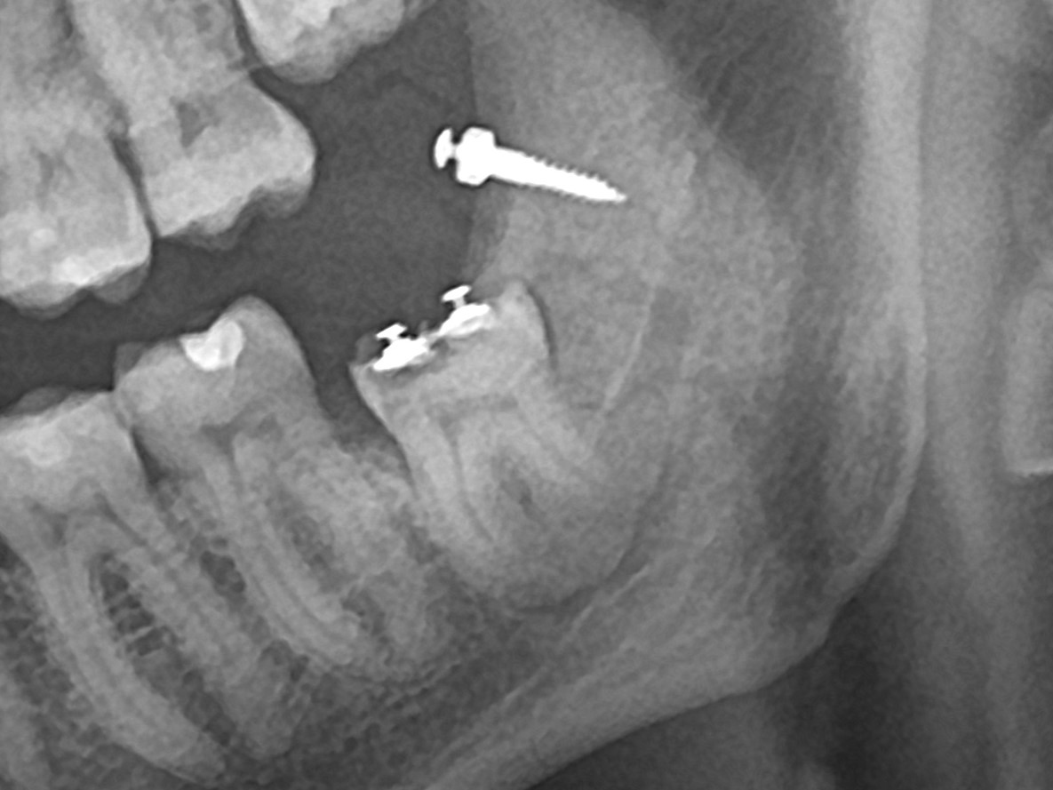
Через 11 недель на ОПТГ наблюдалось незначительное, но прогрессирующее перемещение зуба.

ОПТГ через 0 , 7 , 11 недель. Заметна динамика.
ОПТГ через 0 , 7 , 11 недель. Заметна динамика.

К 14-й неделе лечения на ОПТГ было зафиксировано значительное  смещение  зуба, достаточное для его удаления.  

ОПТГ на 14 неделе
ОПТГ на 14 неделе
Раскрытие раны и снятие ортодонтических тяг 
Раскрытие раны и снятие ортодонтических тяг 
Зуб после удаления с приложенным пародонтальным зондом 
Зуб после удаления с приложенным пародонтальным зондом 

После завершения лечения онемения в области нижней губы, подбородка и языка не наблюдалось. Пациент не предъявлял особых жалоб в послеоперационном периоде. 


Комментарии 0
Чтобы оставить комментарий, авторизуйтесь или зарегистрируйтесь
Другие статьи
На сайте используются cookie-файлы, которые помогают показывать Вам самую актуальную информацию. Продолжая пользоваться сайтом, Вы даете согласие на использование ваших Метаданных и cookie-файлов.