Чтобы открыть избранное, войдите в свой профиль или зарегистрируйтесь на платформе
Чтобы добавить в избранное, войдите в свой профиль или зарегистрируйтесь на платформе

Козадаев Сергей Игоревич в г. Москва

Стоматолог-хирург, Стоматолог-ортопед, Имплантолог

Стаж работы: 15 лет Стоимость приёма от: 3 000 ₽

О враче

Стоматолог-хирург и имплантолог с 14-летним клиническим опытом. Специализируется на сложной хирургии, имплантации, костной пластике и тотальных реабилитациях с применением цифровых протоколов.


Автор публикаций в профильных научных журналах по имплантологии и хирургической стоматологии. Регулярный участник российских и международных стоматологических конгрессов и обучающих программ. Проходил обучение в Венгрии и Японии. Ведёт активную научно-просветительскую деятельность, делясь опытом с коллегами

К доктору обращаются, когда нужны

Удаление зубов мудрости любой сложности, включая ретинированные и дистопированные;
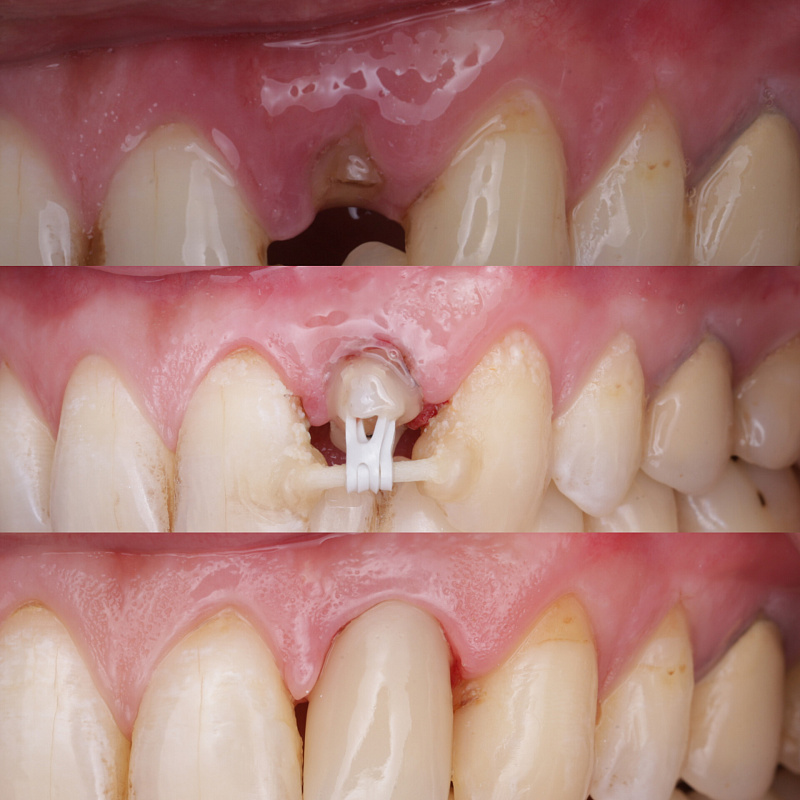
Имплантация — одномоментная и отсроченная, включая протоколы «All-on-4/6/8»;
Аутотрансплантация — пересадка зуба на место утраченного. Например, пересадка зуба мудрости вместо утраченного жевательного зуба;
Синус-лифтинг, костная пластика, пластика десны;
Работа с пациентами, утратившими все зубы, — тотальная реабилитация с последующим восстановлением эстетики и функции.
Пациенты отмечают его деликатность, умение разъяснить сложное простыми словами и создать ощущение уверенности даже в самых непростых клинических случаях

Сергей Игоревич сочетает хирургическую точность с искренним вниманием к состоянию пациента. Его задача — не просто выполнить вмешательство, а обеспечить предсказуемый результат с минимальной травматичностью и быстрым восстановлением.

Образование

2010
Центральная научно-исследовательская лаборатория КГМУ Высшее
2012
Центральная научно-исследовательская лаборатория КГМУ Ординатура

Отзывы о враче Козадаев Сергей Игоревич в г. Москва

Будьте первым, оставьте отзыв!
Отзывов с оценками пока нет, ждём ваших отзывов!
Козадаев Сергей Игоревич
Скажите, что вы узнали о враче на Dentalworld.ru

Публикации врача

6

Фото работ до/после врача Козадаева Сергея Игоревича в г. Москва

Скоро тут будут фото работ врача до/после

На сайте используются cookie-файлы, которые помогают показывать Вам самую актуальную информацию. Продолжая пользоваться сайтом, Вы даете согласие на использование ваших Метаданных и cookie-файлов.