Чтобы открыть избранное, войдите в свой профиль или зарегистрируйтесь на платформе
Чтобы добавить в избранное, войдите в свой профиль или зарегистрируйтесь на платформе

Симптомы, лечение и профилактика заболеваний ротовой полости у детей

1 минута
496

АВТОР СТАТЬИ

Платформа Dentalworld

Особенности разных заболеваний полости рта:

Стоматит

Стоматит сопровождается покраснением слизистой оболочки, появлением белого налёта на языке и образованием небольших язвочек на внутренней поверхности щёк. Заболевание может иметь разное происхождение:

  • инфекционный стоматит инициируют вирусные инфекции, болезнетворные бактерии или грибок рода Candida;
  • неинфекционный стоматит провоцируют ожоги и ранки во рту, жёсткие зубные щётки, неправильное питание, некоторые медикаменты, а также другие патологии (диабет, атопический дерматит);
  • аллергический стоматит выступает не как отдельное заболевание, а как часть общей аллергической реакции организма; обычно он проявляется у детей, подверженных разным аллергическим реакциям.
 
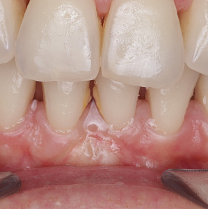
Гингивит

Гингивит проявляется отёчностью, болезненностью и кровоточивостью дёсен, большим количеством мягкого зубного налёта, гнилостным запахом изо рта. Возможно также увеличение межзубных промежутков и зубная боль. Основная причина появления гингивита – это недостаточная гигиена ротовой полости, формирование зубного налёта, наличие кариеса. К факторам риска также относятся диабет, дефицит витамина С, некачественное питание, зубочелюстные аномалии, механические травмы.

Глоссит

Глоссит характеризуется отёчностью языка, что приводит к ограничению его подвижности и затруднению речи. Может поменяться цвет языка, на нём может образовываться налёт и язвочки. Все эти явления часто сопровождаются жжением и болью.

Причины, вызвавшие глоссит, могут быть разными:

  • бактериальный глоссит провоцируют стрептококки, стафилококки и прочие микроорганизмы;
  • вирусный глоссит вызван вирусом герпеса;
  • грибковый глоссит появляется из-за грибков рода Candida;
  • травмы языка (термические или химические ожоги) также провоцируют появление болезни;
  • глоссит может проявляться как сопутствующий симптом дифтерии, скарлатины, кори.
 
Лечение заболеваний ротовой полости

Поставить диагноз на начальной стадии заболевания, когда нужно срочно приступать к лечению, может только врач в детской стоматологической клинике. Стоматолог должен установить причину появления заболевания и назначить соответствующее медикаментозное лечение антибиотиками, противогрибковыми или противовирусными препаратами. Лечение предполагает полоскание специальными дезинфицирующими растворами, которые убирают налёт и снимают воспаление слизистой, а также обработку ран заживляющими мазями. Во время лечения, чтобы избежать рецидива, ребёнку не дают острой, кислой и солёной пищи.

Профилактика заболеваний полости рта

Чтобы предотвратить появление и развитие стоматита, глоссита, гингивита и прочих воспалительных заболеваний, необходимо должное внимание уделять гигиене ротовой полости. Ребёнку нужно подобрать специальную детскую зубную щётку с мягкой щетиной и детскую зубную пасту с вытяжками лекарственных растений, а также научить его правильно чистить зубы. Необходимо регулярно удалять твёрдые зубные отложения и мягкий налёт, а также своевременно лечить кариес зубов. С этой целью нужно дважды в год посещать врача в детской стоматологической клинике.

Детям требуется и общеукрепляющая терапия, которая заключается в основном в приёме витаминных препаратов. По рекомендации детских врачей возможен приём средств для нормализации обмена веществ и иммуномодуляторов, усиливающих иммунную систему детского организма.

Другие статьи
На сайте используются cookie-файлы, которые помогают показывать Вам самую актуальную информацию. Продолжая пользоваться сайтом, Вы даете согласие на использование ваших Метаданных и cookie-файлов.