Закрытие рецессии десны для профилактики дальнейшего оголения корней

4 минуты
755

АВТОР СТАТЬИ

Козадаев Сергей Игоревич

Стоматолог-хирург, Стоматолог-ортопед, Имплантолог

Козадаев Сергей Игоревич

Все чаще в практике врача стоматолога-хирурга появляются пациенты с рецессиями десны. 

Не всегда пациент в состоянии диагностировать появление рецессии, но повышенная чувствительность зуба, "удлиняющаяся" коронковая часть зуба могут натолкнуть на мысль о возможном возникновении рецессии десны. 

Давайте разберем один из клинических случаев с результатом через 3 года.

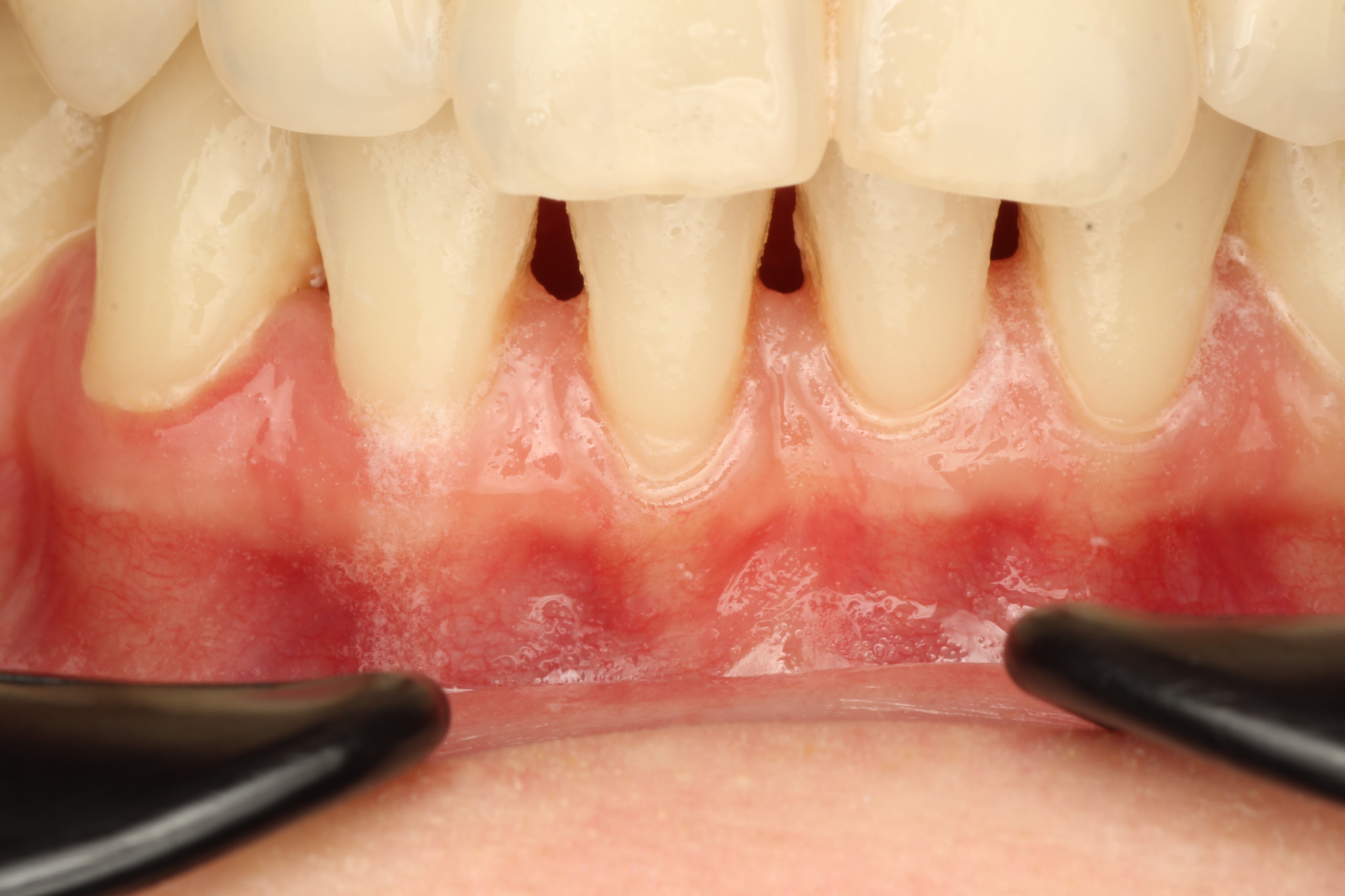
Пациентка обратилась с жалобами на повышенную чувствительность. оголение корня на зубе 4.1

Отмечается рецессии десны и тонкий фенотип десны. Для того что бы вернуть утраченный комплекс тканей решено провести подсадку десневого трансплантата с неба.

Теперь давайте разберем ход операции 

тонкий биотип десны, рецессия 2 мм на зубе 4.1
тонкий биотип десны, рецессия 2 мм на зубе 4.1
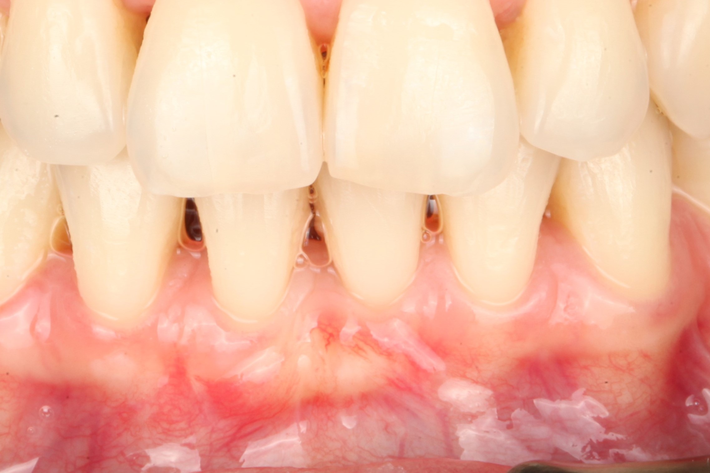
на фотографии в боковой проекции четко видны границы оголенного корня 
на фотографии в боковой проекции четко видны границы оголенного корня 

произведена пластика десны туннельной техникой с подсадкой десневого трансплантата. 

через 2 недели сняты швы. 

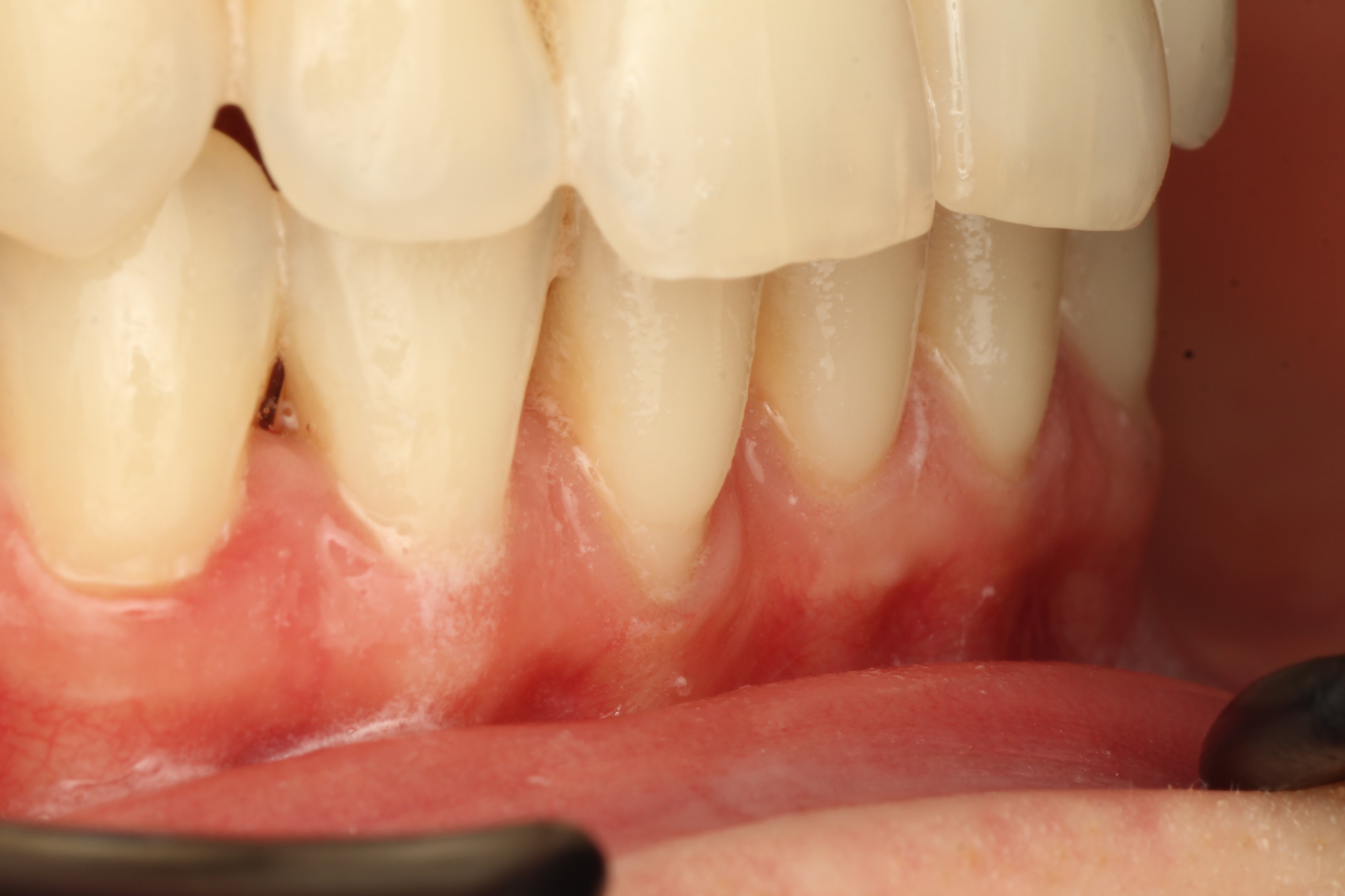
через 4 месяца после операции мы видим явное улучшение клинической картины
через 4 месяца после операции мы видим явное улучшение клинической картины
Через три года после операции результат стабилен, толщина мягких тканей достаточная, те из тонкого биотипа мы получили средний или толстый 
Через три года после операции результат стабилен, толщина мягких тканей достаточная, те из тонкого биотипа мы получили средний или толстый 

Но при этом гигиена пациента остается неудовлетворительной. 

На фотографии в боковой проекции мы видим полное закрытие оголенного корня, стабильный и долгосрочный результат.
На фотографии в боковой проекции мы видим полное закрытие оголенного корня, стабильный и долгосрочный результат.

Всего одна деликатная операция позволяет профилактировать дальнейшую убыль десны и оголение корня. 

для наглядности полученного результат коллаж с фотографиями до и после
для наглядности полученного результат коллаж с фотографиями до и после

Другие статьи
На сайте используются cookie-файлы, которые помогают показывать Вам самую актуальную информацию. Продолжая пользоваться сайтом, Вы даете согласие на использование ваших Метаданных и cookie-файлов.