Чтобы открыть избранное, войдите в свой профиль или зарегистрируйтесь на платформе
Чтобы добавить в избранное, войдите в свой профиль или зарегистрируйтесь на платформе

Закрытие рецессий десны после фиксации виниров

3 минуты
753

Рецессия десны — распространенная проблема. Она может возникнуть как  самостоятельно, так и после ортодонтического или ортопедического лечения.

В данной публикации  рассмотрим случай, когда рецессия появилась после установки виниров на нижней челюсть.  

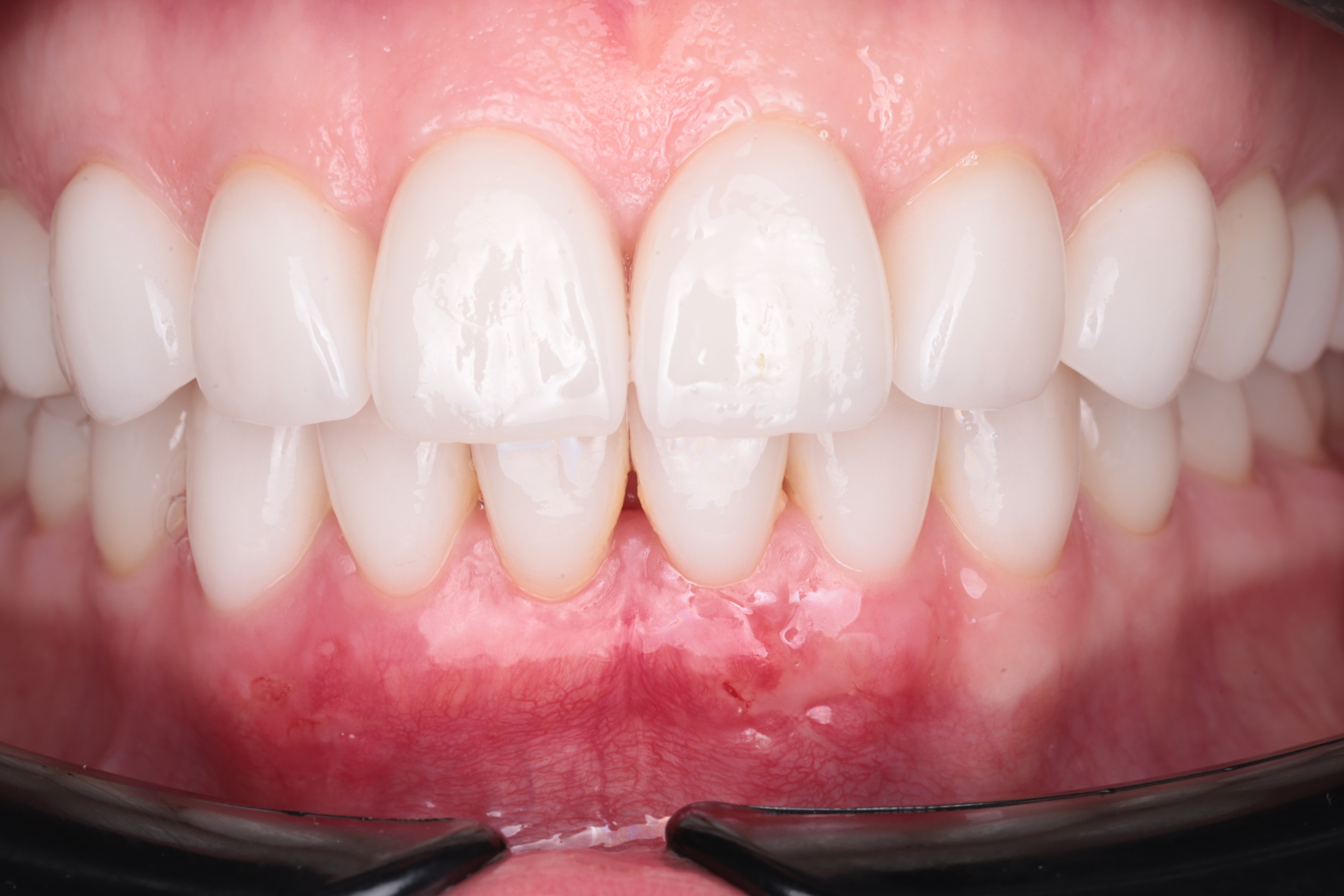
Исходная клиническая картина. Видим рецессии десны на зубах 4.2,4.1,3.1. Неудовлетворительную гигиену и хорошее прилегание ортопедической конструкции. 
Исходная клиническая картина. Видим рецессии десны на зубах 4.2,4.1,3.1. Неудовлетворительную гигиену и хорошее прилегание ортопедической конструкции. 

План лечения - нормализация гигиены, пластика рецессий.

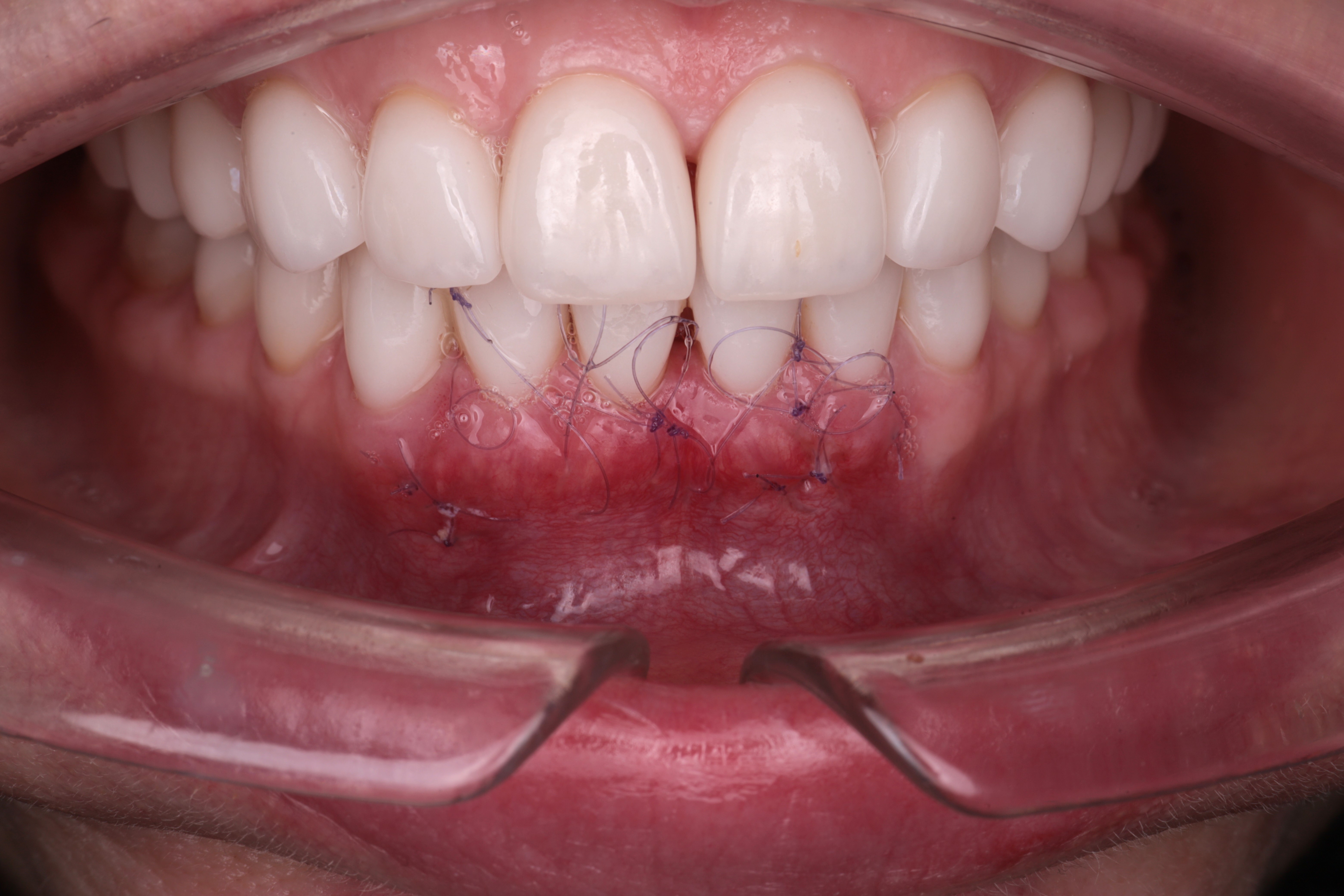
Ситуация через неделю после операции. Швы не состоятельны, рана выглядит удовлетворительно.
Ситуация через неделю после операции. Швы не состоятельны, рана выглядит удовлетворительно.
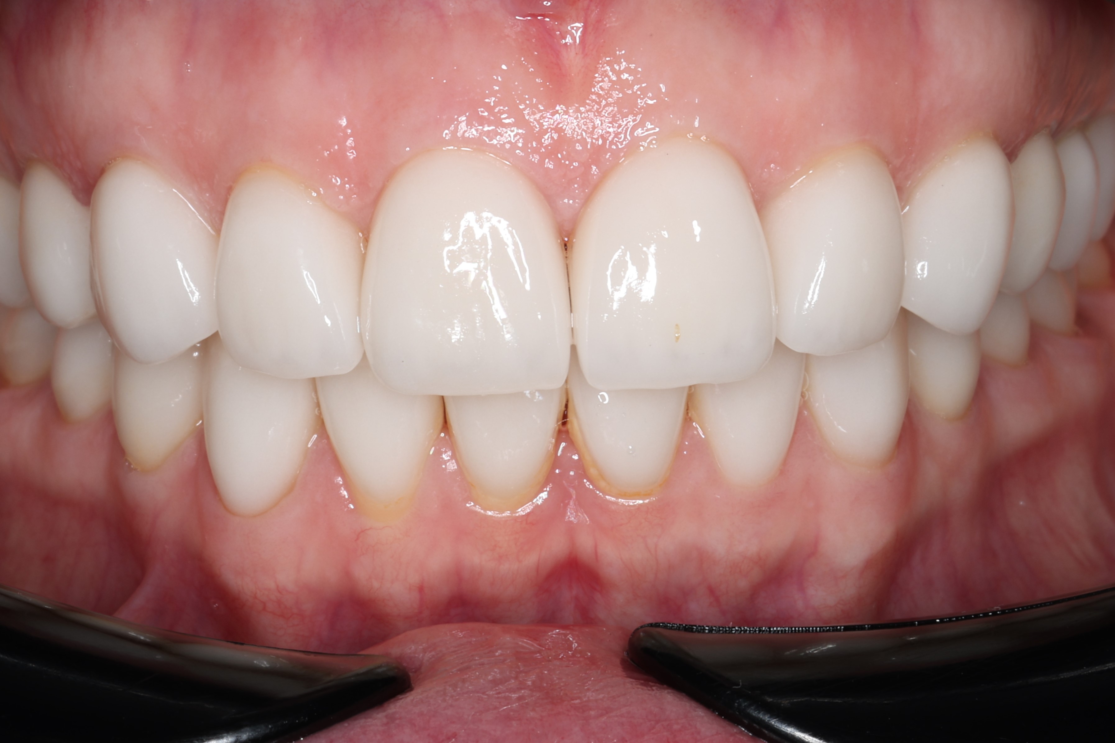
Через 3 недели после операции - видим немного гиперимированную слизистую и слегка  отечную в области проведенной операции
Через 3 недели после операции - видим немного гиперимированную слизистую и слегка  отечную в области проведенной операции
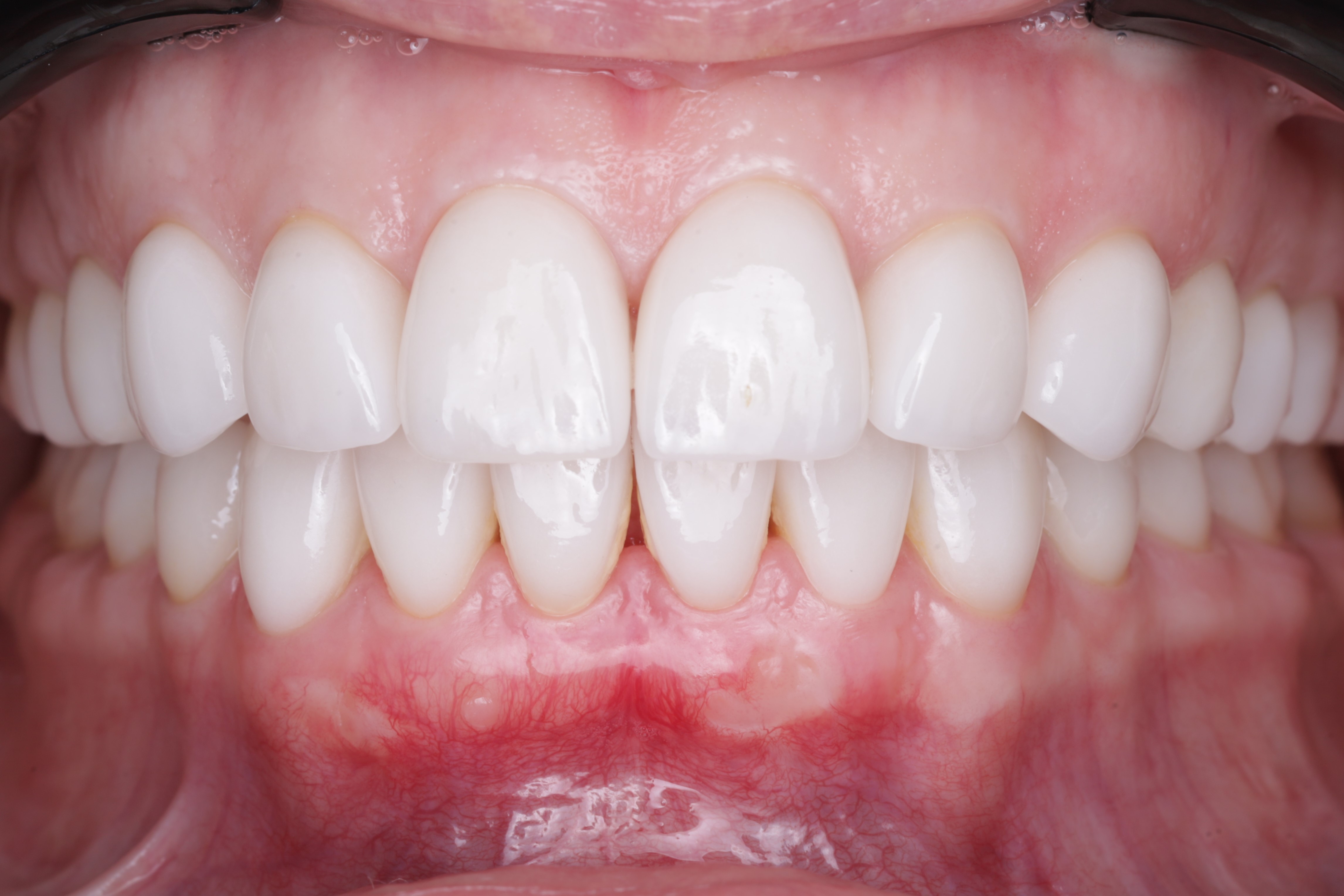
Спустя шесть  месяцев после закрытия рецессий десны. 
Спустя шесть  месяцев после закрытия рецессий десны. 

На этом пациента можно считать реабилитированным. В дальнейшем осмотры проводятся разв год.


Комментарии 0
Чтобы оставить комментарий, авторизуйтесь или зарегистрируйтесь
Другие статьи
На сайте используются cookie-файлы, которые помогают показывать Вам самую актуальную информацию. Продолжая пользоваться сайтом, Вы даете согласие на использование ваших Метаданных и cookie-файлов.