Чтобы открыть избранное, войдите в свой профиль или зарегистрируйтесь на платформе
Чтобы добавить в избранное, войдите в свой профиль или зарегистрируйтесь на платформе

Статьи: Имплантация зубов

Сбросить
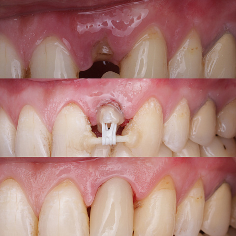
Лопнул корень зуба. Удаляем или как сохранить?
Лопнул корень зуба. Удаляем или как сохранить?

Сегодня хотел бы поделиться достаточно интересной работой - ко мне обратился пациент с трещиной зуба 2.2

05.09.2025
Козадаев Сергей Игоревич
Козадаев Сергей Игоревич
1040 Просмотров
Можно ли делать имплантацию зубов во время беременности
Можно ли делать имплантацию зубов во время беременности

Можно ли проводить стоматологическое лечение во время беременности, в том числе установку зубных имплантов?

24.08.2023
Dentalworld
Dentalworld
2706 Просмотров
Шаблонная одномоментная имплантация около верхнечелюстной пазухи
Шаблонная одномоментная имплантация около верхнечелюстной пазухи

Одномоментные имплантации в области верхних боковых зубов гарантируют максимальное сохранение кости и мягких тканей, они не травматичны и обещают б...

20.09.2019
Dentalworld
Dentalworld
966 Просмотров
Риски при имплантации зубов: мифы и реальность
Риски при имплантации зубов: мифы и реальность

Имплантация — серьезная стоматологическая операция. Неудивительно, что пациенты часто боятся ее и придумывают различные мифы. Попробуем разобраться...

30.05.2019
Dentalworld
Dentalworld
886 Просмотров
Метод одномоментной имплантации с немедленной реставрацией, как способ достижения эстетического результата при ортопедическом лечении  на имплантатах
Метод одномоментной имплантации с немедленной реставрацией, как способ достижения эстетического результата при ортопедическом лечении на имплантатах

Наряду с тем, что остеоинтеграция всё больше становится предсказуемой, основным критерием в определении стандарта имплантологического лечения до...

14.08.2009
Dentalworld
Dentalworld
606 Просмотров


Хирургическая стоматология Болезни зубов Эстетическая стоматология Детская стоматология Ортодонтия Пародонтология Рентгенология Омоложивающая стоматология Гнатология Эндодонтия Цифровая стоматология Юриспруденция в стоматологии Маркетинг и связи с общественностью Неотложная медицинская помощь Психология Трёхмерная печать Лечение зубов Протезирование зубов Удаление зубов Лечение десен Имплантация зубов Исправление прикуса Лечение зубов под наркозом Лечение зубов при беременности Профилактика заболеваний зубов Челюстно-лицевая хирургия Зуботехническая стоматология Коммуникации в стоматологии Отбеливание зубов Законодательство Зарубежные коллеги Образование Научные факты Гигиена и профессиональная чистка зубов Клинический случай Кейс Стоматологические материалы Анестезиология в стоматологии Исследования Стоматологическое оборудование Тренды Восстановление зубов Искусственный интеллект в стоматологии
Посмотреть еще
На сайте используются cookie-файлы, которые помогают показывать Вам самую актуальную информацию. Продолжая пользоваться сайтом, Вы даете согласие на использование ваших Метаданных и cookie-файлов.