Лопнул корень зуба. Удаляем или как сохранить?

6 минут
771

АВТОР СТАТЬИ

Козадаев Сергей Игоревич

Стоматолог-хирург, Стоматолог-ортопед, Имплантолог

Козадаев Сергей Игоревич

Сегодня хотел бы поделиться достаточно интересной работой - ко мне обратился пациент с трещиной зуба 2.2

Как всегда - было предложено несколько вариантов лечения - удаление с имплантацией или сохранение с восстановлением утраченной культи зуба с помощью стекловолоконного штифта и дальнейшее восстановление коронкой. 

Пациент выбрал сохранение своего зуба. что и на мой взгляд является наиболее рациональным решением. 

Итак, давайте подробно рассмотрим каждый этап.

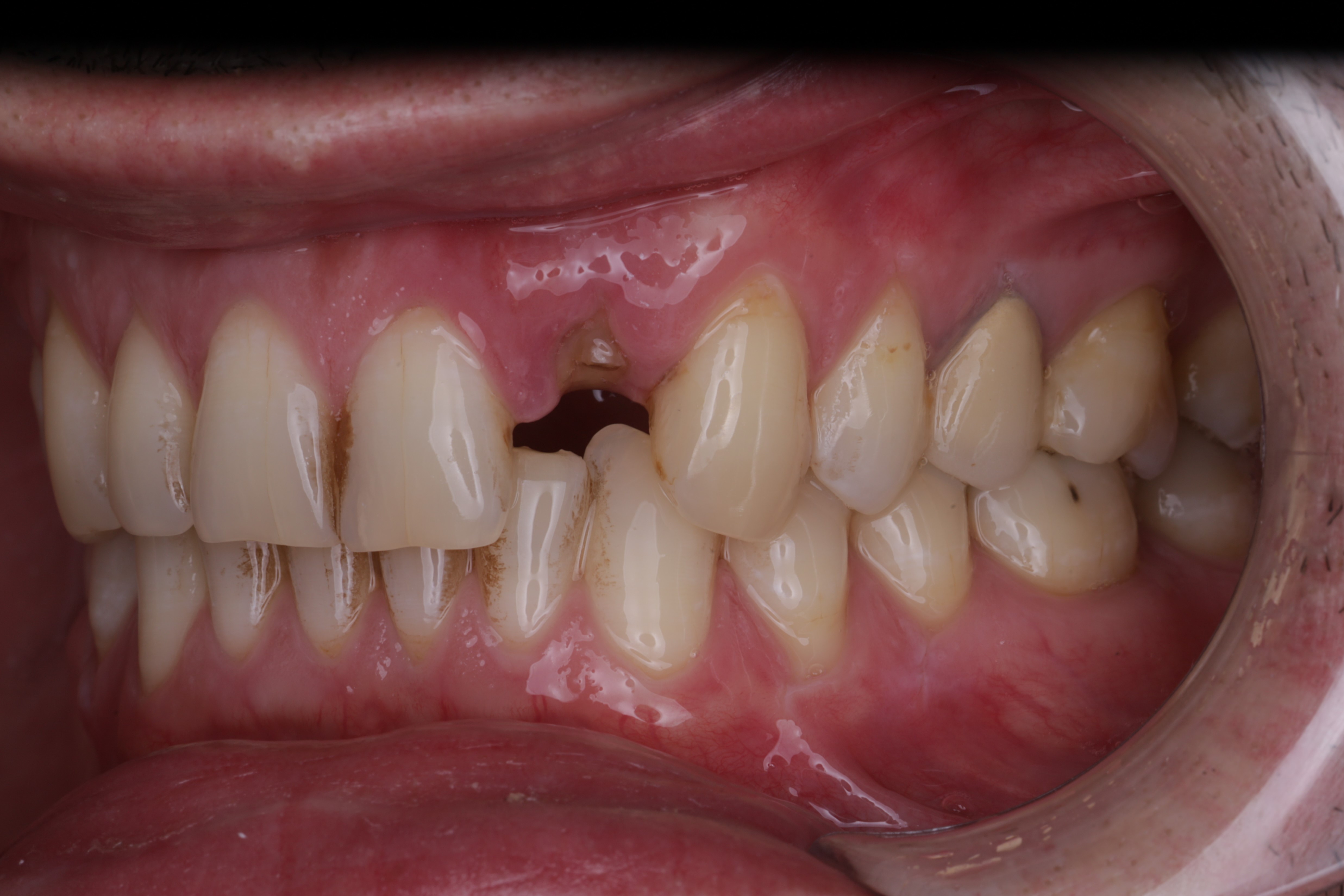
Клиническая картина с которой пациент обратился к нам:

Исходная клиническая ситуация 
Исходная клиническая ситуация 
На рентгенологическом снимке видим что ранее в корень зуба был установлена вкладка
На рентгенологическом снимке видим что ранее в корень зуба был установлена вкладка
Отломок корня 
Отломок корня 
Так выглядит лопнувший корень, скол уходит под уровень кости
Так выглядит лопнувший корень, скол уходит под уровень кости
Отломок корня 
Отломок корня 
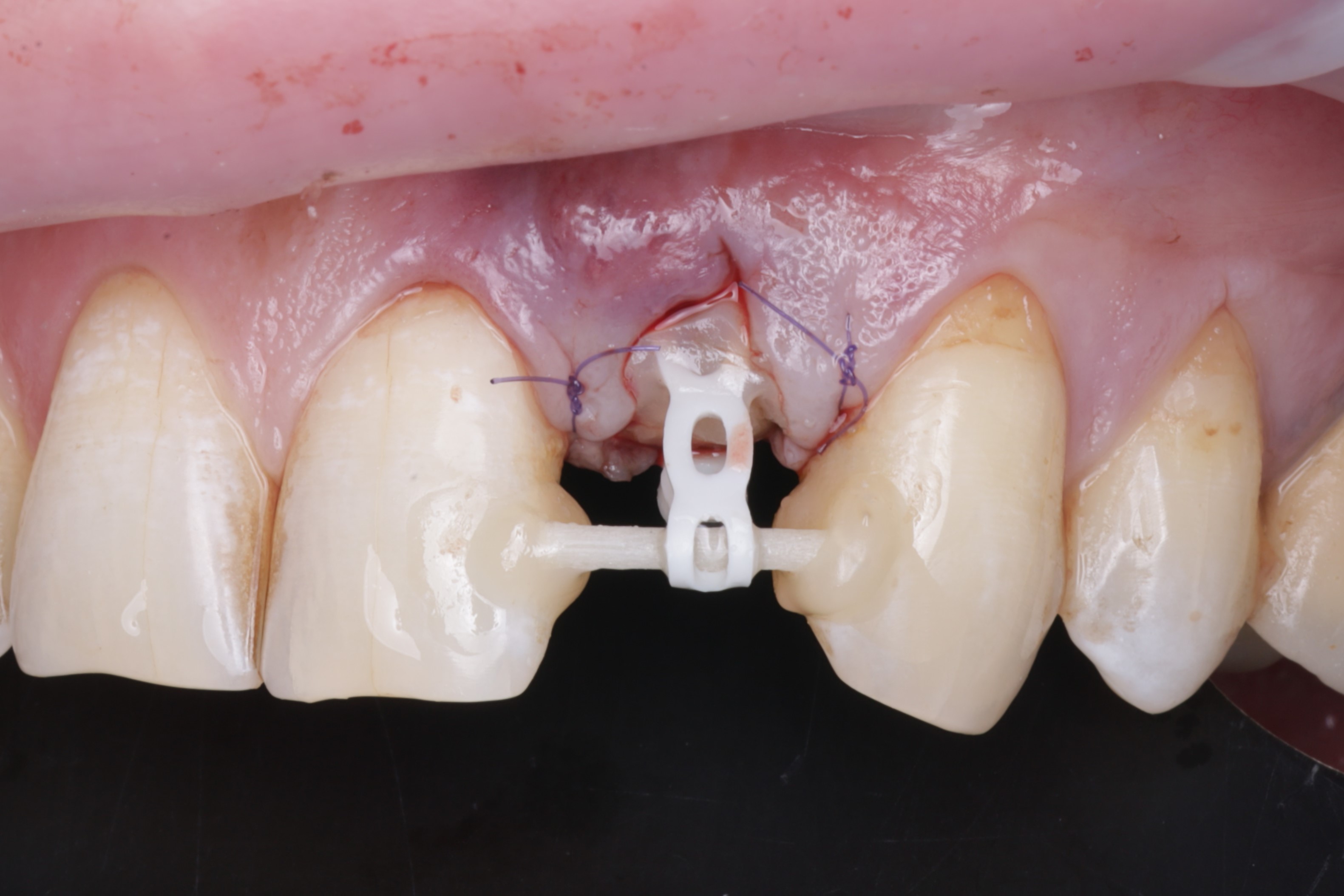
Зафиксирован стекловолоконный штифт и ортодонтическая тяга для вытяжения зуба.
Зафиксирован стекловолоконный штифт и ортодонтическая тяга для вытяжения зуба.
Спустя несколько недель мы видим что корень вытянут на достаточный для восстановления уровень
Спустя несколько недель мы видим что корень вытянут на достаточный для восстановления уровень
Сделана временная композитная реставрация и установка нового штифта
Сделана временная композитная реставрация и установка нового штифта
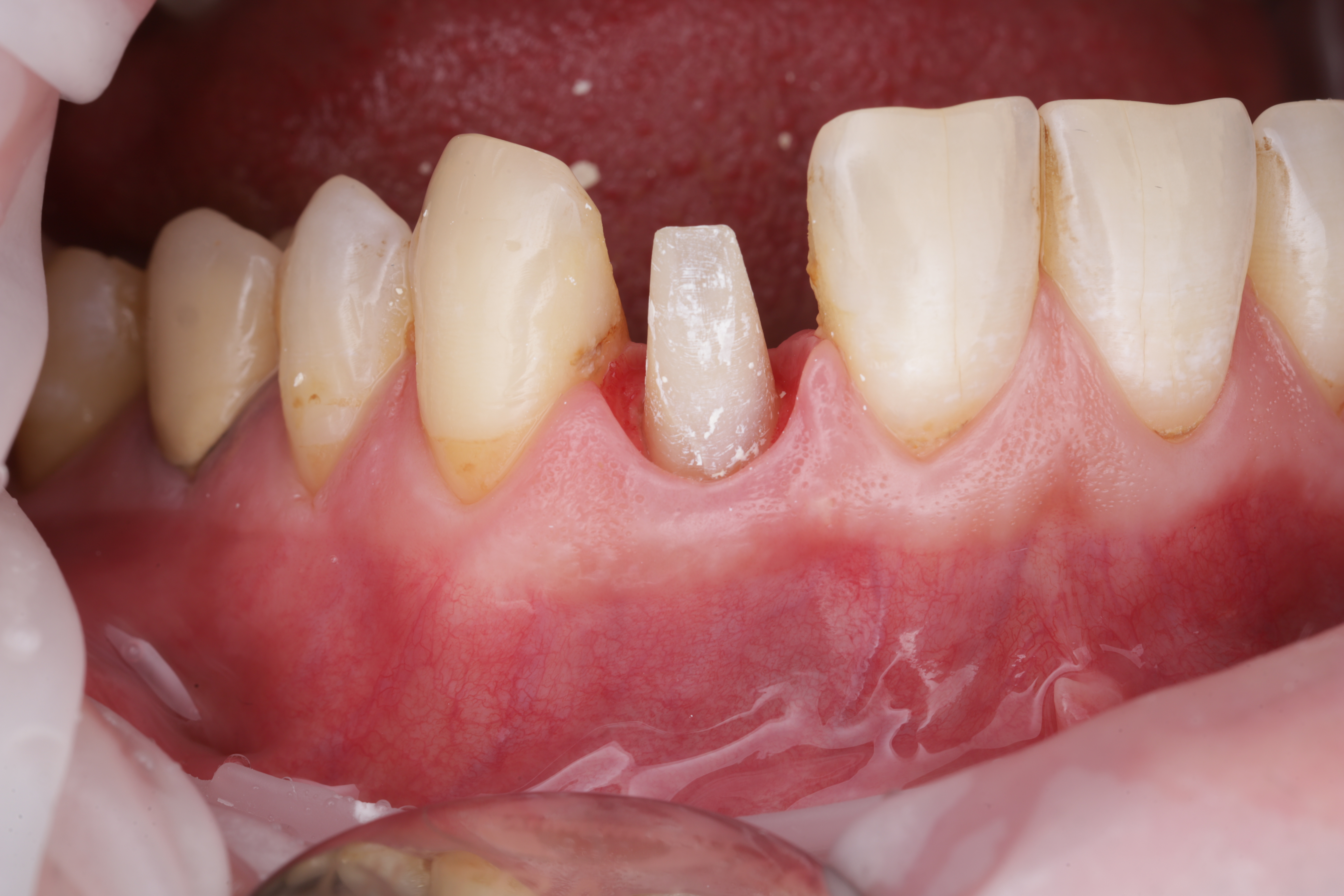
Спустя 4 месяца произведена препаровка зуба под временную и постоянные коронки
Спустя 4 месяца произведена препаровка зуба под временную и постоянные коронки
Так выглядит постоянная коронка сразу после фиксации. Десневые сосочки     полностью заполнят пространство между зубами за несколько недель. 
Так выглядит постоянная коронка сразу после фиксации. Десневые сосочки     полностью заполнят пространство между зубами за несколько недель. 

И если подвести итог данной публикации - при обоюдном желании из любой, даже самой безнадежной ситуации можно найти выход. 


Другие статьи
На сайте используются cookie-файлы, которые помогают показывать Вам самую актуальную информацию. Продолжая пользоваться сайтом, Вы даете согласие на использование ваших Метаданных и cookie-файлов.