Рецессия зуба. Можно ли начинать ортодонтию с рецессиями ?

8 минут
710

АВТОР СТАТЬИ

Козадаев Сергей Игоревич

Стоматолог-хирург, Стоматолог-ортопед, Имплантолог

Козадаев Сергей Игоревич

Обязательно ли закрывать рецессии десны перед ортодонтическим лечением ?

Сегодня я бы хотел немного осветить тему закрытия рецессий десны пред ортодонтическим лечением.

Рецессия десны — это состояние, при котором происходит потеря десны в области зуба, обнажая его корень. Это может быть важным фактором, который необходимо учитывать перед началом ортодонтического лечения.

Почему это важно?

Необходимость закрытия рецессий зависит от исходной ситуации: толщины десны, наличия рецессий и плана ортодонта по перемещению зубов. При наличии рецессий десны и тонком или среднем биотипе десны необходимо обязательное закрытие этих рецессий для профилактики дальнейшей убыли мягких тканей.

Дальше я бы хотел показать клиническую ситуацию с подготовкой мягких тканей к дальнейшей ортодонтии.

Клинический случай

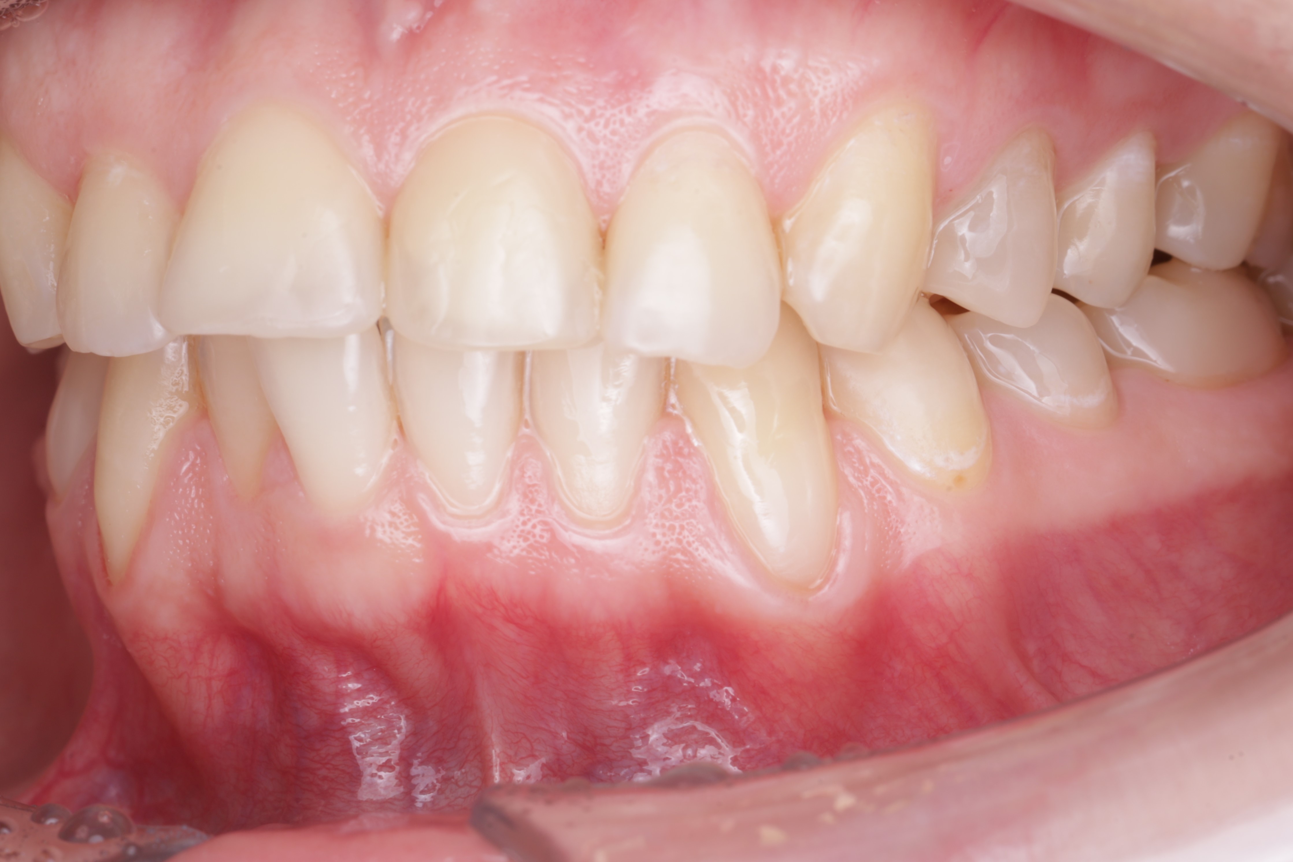
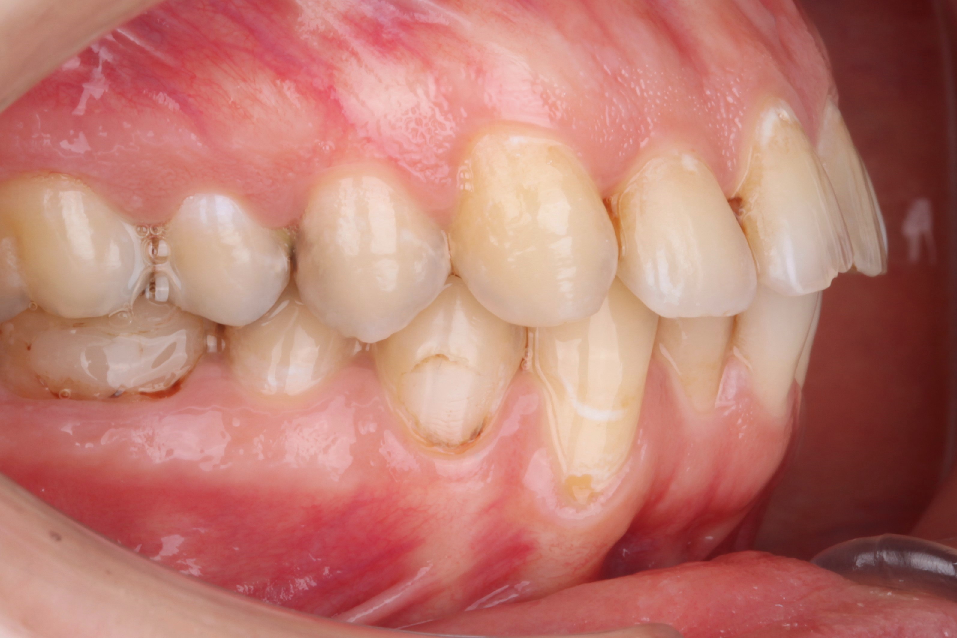
К нам обратилась пациентка 27 лет с желанием сделать красивую улыбку с ровными и красивыми зубами. На фотографии мы видим выраженные рецессии десны на нижних клыках, несостоятельные пломбы, скученность и стираемость.

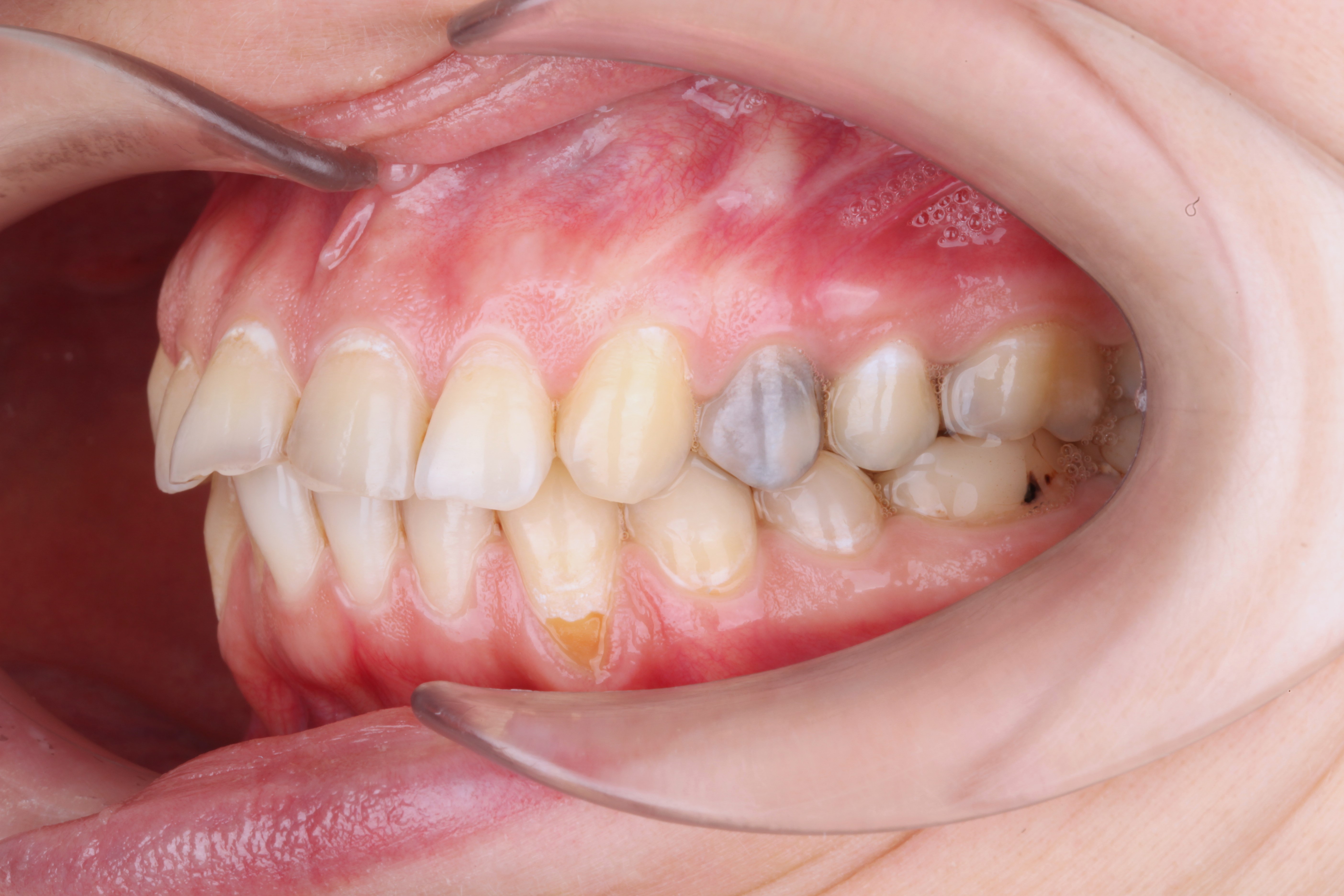
В данной клинической ситуации было принято решение провести санацию полости рта, затем закрыть рецессии в области нижних клыков и только потом приступить к ортодонтии.

Ход лечения

Спустя месяц пациентка с уже санированной полостью рта была направлена на закрытие рецессий. Терапевт произвёл закрытие рецессий десны композитным материалом. Также было запланировано пришлифовывание материала в полости рта и закрытие небольшой рецессии на зубе 4.4.

Операция была выполнена туннельной техникой с получением десневого трансплантата с нёба

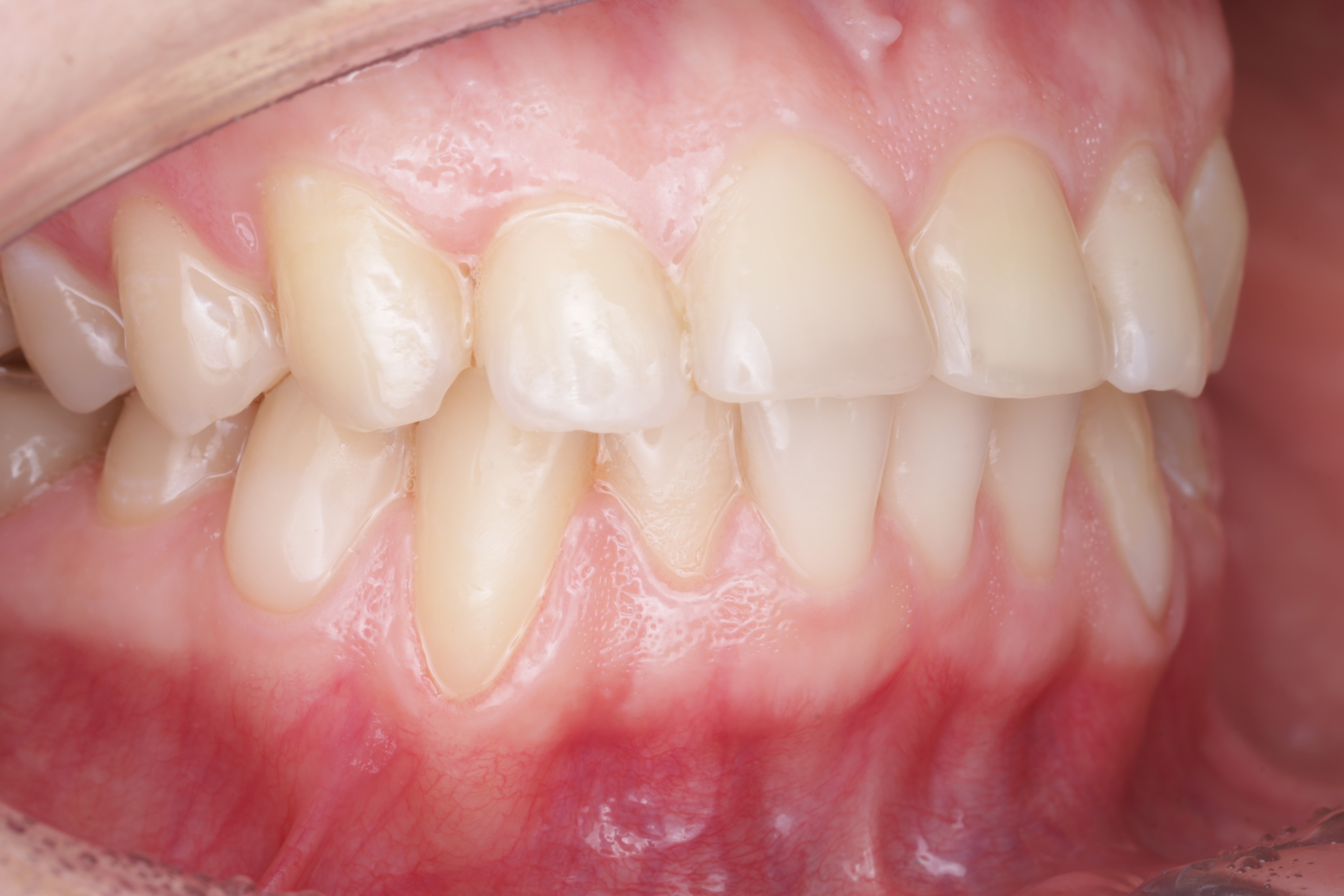
Спустя два месяца ортодонт зафиксировал брекеты. Мы видим полное закрытие рецессий и увеличение толщины десны. Это делает ортодонтическое лечение безопасным, а вероятность возникновения рецессий десны в дальнейшем — минимальной или практически невозможной

Осмотр спустя 6 месяцев :

Мы видим полное закрытие рецессий, увеличение толщины десны, что в дальнейшем делают ортодонтию безопасной, вероятность возникновения рецессий десны в дальнейшем минимальным или практически невозможным.


Другие статьи
На сайте используются cookie-файлы, которые помогают показывать Вам самую актуальную информацию. Продолжая пользоваться сайтом, Вы даете согласие на использование ваших Метаданных и cookie-файлов.