Этапы лечения:
1. Профгигиена за неделю до операции2. Снятие пломбы с поверхности зубов
3. Обработка корней ( ультразвук + порошок на основе эритритола )


4. Расщепление лоскута -> полнослойный лоскут-> расщепление лоскута

5. Удаление LST ( губная подслизистая ткань )
6. Деэпителизация сосочков
7. Забор с неба , деэпителизация
8. Фиксация швами 7/0 ( ПГА )

9. LAST ( в области клыков )
10. Вестибулярный лоскут фиксирован швами ( Моносин 6/0)

11. Апикальные удерживающие швы
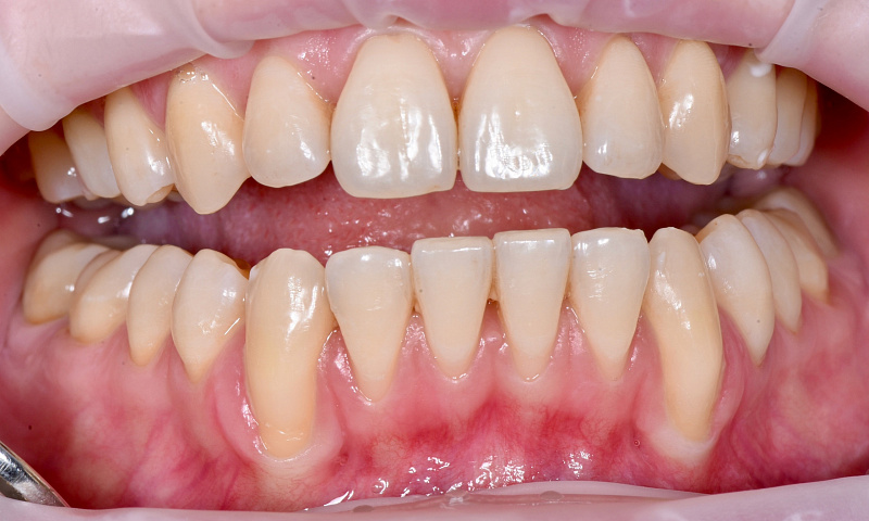
12. Осмотр через месяц


